突发性肢体无力常被误认为疲劳所致,然而其背后可能隐藏着两种罕见疾病共存的复杂情况。同时罹患两种罕见疾病是怎样的临床体验?
29岁的小林从未预料到,一次看似普通的肢体麻木竟会将她卷入一场与生命赛跑的持久战。作为一名年轻职场女性,她最初仅感到右手臂偶有麻木感,未曾想这竟是大脑发出的紧急警报——烟雾病与格雷夫斯病这两种罕见疾病同时向她袭来。
病情迅速恶化:从麻木进展至脑梗死
小林今年29岁,数月前,她突然发觉左侧胳膊与腿部出现无力感,行走时步态不稳,言语也变得含糊不清。起初她将此归咎于工作劳累与休息不足,但在家中休整数日后,相关症状不仅未见缓解,反而呈现进行性加重趋势。

带着满腹疑虑与不安,小林立即前往医院接受检查,而检查结果令她瞬间陷入困惑:影像学检查显示其右侧额顶叶存在脑梗死病灶;甲状腺功能检测结果亦亮起警示信号,游离甲状腺素(fT4)、游离三碘甲状腺原氨酸(fT3)等指标显著升高,促甲状腺激素受体抗体(TRAb)水平亦远超正常范围。
双侧颈总动脉正位术前血管造影图像显示:双侧颈内动脉末端存在狭窄,伴随烟雾状血管形成,双侧大脑中动脉同样呈现狭窄表现。
双重诊断:并非单一疾病,而是两种罕见病共存
医生向小林解释,她同时患有烟雾病与格雷夫斯病,这在临床上属于极其罕见的共病情况。
烟雾病是一种特发性脑血管疾病,可导致颈内动脉末端、大脑中动脉近端发生狭窄甚至闭塞,引发脑部供血不足,因其在血管造影下异常侧支血管形态类似“烟雾”而得名;格雷夫斯病则属于自身免疫性甲状腺功能亢进症,可使机体处于高代谢的甲状腺毒症状态。
这两种疾病虽分属神经外科与内分泌科范畴,却会相互加剧病情:甲状腺功能亢进引发的高代谢状态会显著增加脑部氧耗,使得原本已供血不足的大脑状况进一步恶化,极易诱发脑缺血甚至脑梗死。
得知自身所患疾病不仅罕见且如此危重,小林内心充满了焦虑与无助。
为后续手术治疗做准备,医生首先为小林开具药物,旨在控制甲状腺功能亢进症状、预防脑缺血持续加重。

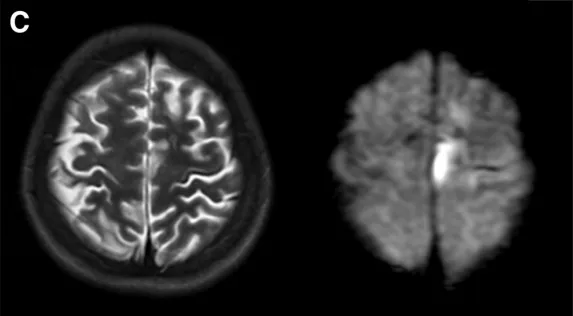
入院时术前影像学检查结果:T2加权磁共振成像(左图)及弥散加权成像(右图)显示左侧额叶存在新发脑梗死病灶。
然而出乎所有人意料,仅一个月后,小林的病情突然急转直下:她再次出现构音障碍,右侧肢体也开始无力,复查发现左侧额叶出现新的脑梗死病灶。更为危急的是,她还并发了甲状腺危象,表现为高热、心动过速、高血压等症状。此时小林的fT4、fT3指标再次急剧升高,脑部缺血状况亦持续加重。
治疗面临的两难抉择:优先处理脑血管问题还是稳定甲状腺功能?
此时的治疗方案陷入了致命的两难困境:
小林的烟雾病急需实施颞浅动脉-大脑中动脉(STA-MCA)旁路手术,通过血管吻合重建脑部血流,否则脑梗死很可能再次发生;
但在甲状腺功能亢进未得到有效控制的情况下,手术风险极高。甲状腺毒症引发的心动过速、高代谢状态会严重加剧脑损伤,甚至可能诱发更严重的神经功能障碍。
更为棘手的是,烟雾病患者因长期脑部缺血,血运重建术后可能出现脑高灌注综合征,即血流短期内急剧增加引发脑水肿、出血。若叠加甲状腺功能亢进状态,这一风险将大幅攀升。
长达70天的生命持久战
结合小林的具体情况,医疗团队制定了优先优化甲状腺功能、随后实施血运重建手术的核心策略。针对甲状腺危象,启动了强化抗甲状腺激素治疗,通过药物精准调控甲状腺功能,密切监测fT3、fT4等指标变化,同时维持循环稳定、控制体温,避免脑部缺血状况再次加重。

甲状腺激素及促甲状腺激素受体抗体(TRAb)水平随时间变化的趋势图
经过长达70天的精准调控,小林的甲状腺功能终于被优化至手术安全范围,fT3、fT4指标降至接近正常水平,甲状腺毒症症状完全缓解。此时,医生判定为小林实施手术的时机已经成熟。
于是,小林终于迎来了接受左侧STA-MCA旁路手术的日子。术中采用硅胶支架法完成血管吻合,同时借助微多普勒超声及吲哚菁绿荧光血管造影技术,实时验证旁路血管的通畅性,确保血运重建效果。
正如术前所预判,手术结束后的即刻检查发现,小林左侧大脑中动脉供血区出现了严重的脑高灌注现象。为应对这一突发状况,医疗团队立即启动相应干预措施,通过药物抑制脑部代谢、减少脑组织氧耗,同时严格控制血压,以缓解高灌注带来的脑组织损伤。此项治疗持续了3天。
转危为安:并非终点,而是全新起点
经过术后精准干预,小林未出现新发的缺血性或出血性并发症。术后20天的血管造影证实,旁路血管保持通畅,脑部供血得到有效改善;术后23天的磁共振检查显示,脑组织无新发病灶。
小林的神经功能也逐步恢复,肢体无力、构音障碍等症状明显改善,日常活动基本可自主完成。
本文参考文献来源:
Akitsugu Kawashima, et al. Moyamoya disease concurrent with Graves’ disease treated by direct bypass: clinical features and treatment strategies. 2025
INC国际神经外科专家团:川岛明次教授

INC国际神经外科医生集团旗下世界神经外科专家团(WNEG)成员、世界脑血管搭桥手术权威专家、圣路加国际医院神经外科主任川岛明次(Akitsugu Kawashima)教授,擅长脑卒中、烟雾病、颅底肿瘤、面肌痉挛/三叉神经痛、颅内血肿、巨大脑动脉瘤、脑动静脉畸形等疾病的治疗,尤其在脑血管搭桥、颈内动脉内膜切除术领域造诣深厚。
神经外科手术经验:
-
烟雾病脑血管搭桥手术:1300例
-
脑动脉瘤夹闭手术:1000例
-
脑血管畸形切除术:500例
-
颈内动脉内膜切除术:450例
-
开颅脑瘤切除术:280例
-
颅后窝搭桥术、High-flow Bypass技术等

胶质瘤
垂体瘤
脑膜瘤
脑血管瘤
听神经瘤
脊索瘤

沪公网安备31010902002694号