一份异常的产检报告打破了孕期的喜悦。
对30岁的苏珊而言,怀孕本应是一段充满期待与欣喜的历程。
但在孕28周常规产检中,医院的检查结果却令她瞬间陷入焦虑——胎儿颅内发现异常信号。进一步检查证实,胎儿右侧大脑半球存在巨大血管病变,同时合并梗阻性脑积水。

当她看到影像中胎儿安静的模样,不禁陷入困惑:宝宝怎么会患上血管畸形?是否面临严重风险?又该如何应对?
颅内软脑膜动静脉瘘(PAVF)是指脑动脉与静脉之间直接沟通的血管异常,缺乏典型脑动静脉畸形中所见的血管团结构。此类血管畸形多见于儿童群体,胎儿期发现极为罕见,主要因对该病认识尚不充分且影像显示存在难度。
INC国际儿童脑瘤专家、世界小儿神经系统知名杂志《Child’s Nervous System》现任主编Concezio Di Rocco教授等人曾发表研究《Prenatal Diagnosis and Multimodal Neonatal Treatment of a Rare Pial Arteriovenous Fistula: Case Report and Review of the Literature》,上述案例即来源于此。

罕见胎儿脑动静脉瘘案例概况
本案例为一例罕见占位效应型PAVF,经胎儿MRI确诊。病变位于右侧大脑半球,由胼胝体周动脉供血,并伴有巨大静脉瘤样扩张。治疗分为两阶段:首次行血管内栓塞术,术后因大脑中动脉(MCA)新增供血支参与瘘口、静脉瘤囊迅速增大并产生占位效应,遂进行二期手术。最终PAVF完全消失,患儿未出现新发并发症,恢复良好。
婴幼儿罹患软脑膜动静脉瘘处理尤为棘手,文献报道其致残率与死亡率均高于较大年龄儿童。
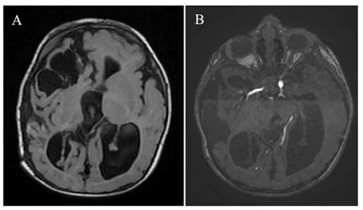
在常规产科超声(US)检查中,苏珊的胎儿被发现颅内存在最大径约7 cm的无回声灶,彩色多普勒显示病灶内部具有血流信号。

胎儿MRI进一步显示右侧大脑半球巨大血管病变,压迫邻近脑实质,导致中线结构向对侧移位,并已出现早期梗阻性脑积水(图1A-B)。
所幸胎儿生命体征稳定,医疗团队决定待其出生后再进行治疗。
剖腹产及新生儿治疗过程
苏珊择期接受剖腹产,娩出一名男婴亨利,体重2870 g。新生儿出生后清醒、有反应,四肢可自主活动,Apgar评分显示发育正常,仅存在轻度肺动脉高压。
出生第1天,亨利被确认存在颅内血管病变,表现为囊状动脉瘤样结构,内部为搏动性血流。同日进行的磁共振血管成像(MRA)显示右侧额叶软脑膜动静脉瘘(PAVF),伴软脑膜静脉瘤样扩张,其内血流湍急,经扩张静脉引流入上矢状窦(图1C-E)。该病变还压迫同侧脑组织,导致局部脑实质萎缩。

因亨利临床状态稳定,医疗团队决定在其出生后第8天施行数字减影血管造影(DSA),以完成血管内栓塞治疗。术后即刻造影显示主瘘道实现完全闭塞(图2C)。

术后5小时经前囟彩色多普勒检查确认软脑膜静脉瘤样扩张段已无残余血流,上矢状窦回流通畅。
亨利术后初期情况平稳:前囟平软,患儿清醒、刺激后可反应,四肢自主活动,瞳孔等大等圆、对光反射灵敏。
术后第1天,其神经状态出现轻度恶化。急诊CT显示瘤囊内血栓进展、囊腔较前增大;CTA发现右侧大脑中动脉(MCA)远端新发出一支粗大供血支参与瘘口(图3A),该支在术前DSA中未显影。

鉴于MCA供血支解剖形态不适合血管内介入,且静脉瘤囊迅速扩张已对邻近脑组织构成致命占位效应,经多学科讨论后决定行二期手术。
亨利接受开颅手术,术中切开瘤囊,清除血凝块并完整切除囊壁。为促进脑组织复张,术区留置硬膜下外引流管。
术后过程平稳:患儿清醒、反应良好,自主呼吸恢复,可经口喂养。早期影像学检查排除手术并发症,轻度脑积水缓解,遂拔除引流管并安排出院。

亨利术后24个月随访未见晚期并发症(图4)。
在他4岁时的随访中,其神经功能与认知发育均达到满意水平。

胶质瘤
垂体瘤
脑膜瘤
脑血管瘤
听神经瘤
脊索瘤

沪公网安备31010902002694号