颈动脉瘤常被视为颅内"定时炸弹",但颈部颈动脉同样存在致命风...
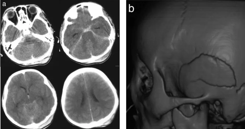
更新时间:2026-01-20 09:14:52
一场突发交通事故导致8岁男性患儿小明陷入中度昏迷状态。后续...
更新时间:2026-01-08 10:06:30
47岁男性患者陈先生在家中出现突发性剧烈头痛,随后迅速陷入昏...
更新时间:2026-01-04 09:53:53
"切除率达到100%,动静脉畸形(AVM)无任何残留,我认为不会再复...
更新时间:2026-01-01 12:52:37
当时面临两种治疗方案:开颅手术彻底切除或创伤较小的伽马刀...
更新时间:2025-12-10 09:21:59
47岁属于人生黄金时期,通常处于事业有成、家庭美满阶段。然而...
更新时间:2025-11-14 11:00:58
当51岁王女士认为颅内动脉瘤已被彻底清除时,术后七年的突发状...
更新时间:2025-11-06 10:44:12
儿童脑干海绵状血管瘤出血概率显著高于成人。不久后楠楠出现...
更新时间:2025-11-02 09:45:26
当年轻运动员被诊断患有先天性结构畸形时,能否重返运动赛场...
更新时间:2025-10-30 17:42:23
影像检查结果显示:左侧颈总动脉出现"葫芦状"不规则瘤体,瘤颈...
更新时间:2025-10-22 10:26:21
颈静脉孔区作为侧颅底的关键结构,解剖关系复杂,被称为"神经...
更新时间:2025-10-19 18:57:15
MRI检查未发现明确出血原因,既无海绵状血管瘤也无动静脉畸形...
更新时间:2025-10-17 20:38:40
INC国际脑血管专家Michael T. Lawton教授在研究中指出:对于颅内AV...
更新时间:2025-09-30 10:46:51
在孕28周常规产检中,医院的检查结果却令她瞬间陷入焦虑——胎...
更新时间:2025-09-29 11:17:44
当地医院的CT检查结果带来沉重一击:提示右侧小脑半球出血。仅...
更新时间:2025-09-19 09:56:59

Cases of Chinese Patients
Academic Visits
International Treatment