五年前,一次交通事故彻底改变了小赞一家的生活。事发当日,小赞起床后乘车前往学校途中遭遇追尾事故。事故虽未造成严重外伤,但三天后小赞开始向母亲主诉头晕症状。
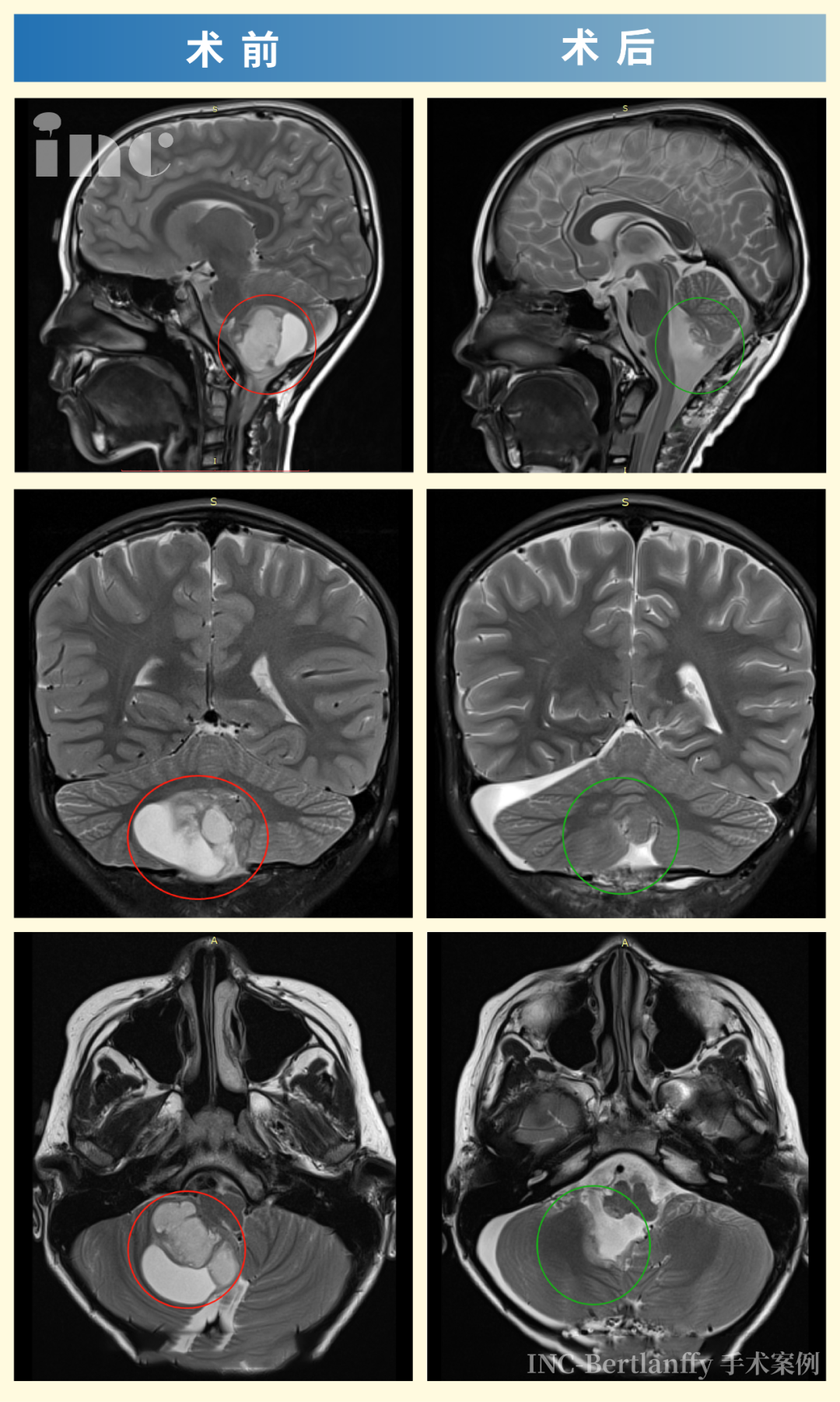
母亲立即带其就医检查,CT影像结果显示:小脑区域存在巨大占位性病变。进一步头部增强磁共振显示:右侧小脑半球见40mm×37mm大小异常信号灶,邻近第四脑室受压变窄,脑干受压,中线结构局部左移。临床诊断考虑低级别星形细胞瘤。

小赞父母难以接受这一事实,因为若非此次偶然事故,孩子此前并无任何明显症状,语言行动与正常儿童无异,未料颅内已潜伏如此巨大的肿瘤。
面对观察等待或手术干预的选择,医生未给出明确建议。父母咨询多方专家后获悉:虽然小脑并非手术难以触及的区域,但小赞的占位已压迫第四脑室和脑干,并导致中线结构左移。脑干作为生命中枢,掌管重要生理功能。肿瘤压迫脑干意味着生命中枢受到威胁。即使当前症状不明显,随着占位效应增加,病情可能快速进展,届时手术效果将大打折扣。
然而,手术同样面临重大风险:即使轻微脑干损伤也可能导致瘫痪、呼吸心跳改变等严重后果,可能造成术后生存期短、生活质量差及易复发等问题。对小赞父母而言,孩子目前状态接近正常,手术失败后果不堪设想。作为父母,他们必须审慎决策,不能让孩子冒瘫痪或生命危险进行手术。
但如此巨大的肿瘤能否承受等待观察?经反复权衡,小赞父母最终决定:必须手术,且必须成功。他们期望为孩子找到更完善的“两全之策”。
远赴他国寻求手术解决方案
“MR表现呈典型小脑良性肿瘤特征,常见为毛细胞性星形细胞瘤。患儿需手术干预。我将尽全力实现肿瘤全切这一关键目标。术后患儿生活质量将良好。”巴教授的这一评估重新燃起了小赞父母的希望,他们决定全力为孩子争取手术机会。不久,一家人启程前往国外。

经巴特朗菲教授面诊及必要检查后,情况如预期所示:小赞已出现明显的小脑性共济失调症状。数日后,巴教授为小赞施行肿瘤切除术。
手术成功与康复过程
巴教授主刀采用正中枕下入路,最终实现肿瘤全切,手术过程顺利,无术中并发症。术后MR复查确认肿瘤完全切除无残留,肿瘤囊肿部分实行“开窗”术及囊壁切除,双极电凝彻底烧灼基底,周围正常脑组织得到保护,脑干获得充分减压,对中脑的挤压/移位压力显著减轻,小脑组织大部分复位。

术后当晚,小赞拔除气管插管,无相关并发症。术后第二天CT扫描显示术后表现正常,无出血、水肿等并发症。随后小赞转入普通病房开始康复治疗,活动能力逐渐恢复。
术后第三天,患儿可在搀扶下床行走。虽术后曾出现短暂右眼活动受限及复视,但出院前所有症状全面改善。经语言康复师训练,患儿已可正常进食。
不足半月,小赞顺利出院,未需服用任何药物。针对后续康复,巴教授建议:术后6-8周充分休息,两个月内避免任何体力活动。目前,小赞已恢复正常生活,并坚持康复训练。

胶质瘤
垂体瘤
脑膜瘤
脑血管瘤
听神经瘤
脊索瘤

沪公网安备31010902002694号