在短短九天内,16岁的林林完成了一次意义非凡的治疗决策——切除一个与他共同存在六年之久的生殖细胞瘤。
第一章:六年带瘤生存的曲折历程
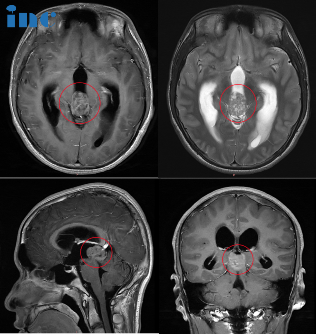
林林在10岁时被诊断出松果体区钙化病变。由于病变位置特殊且体积较小,接诊医生均建议采取保守观察方案。钙化表现通常意味着肿瘤生长缓慢,这让林林全家稍感安心,期待通过保守治疗实现与肿瘤的长期共存。
然而六年后病情发展超出预期。肿瘤出现明显增大并引发梗阻性脑积水,林林的临床症状在这几年间急剧加重,出现眼部胀痛、视力模糊、耳鸣等神经系统症状。日益加重的病情使全家陷入深深不安,曾经的期待转化为现实的失望。
面对医生"不能再延误手术"的警告,林林一家充满懊悔。此时肿瘤已从钙化灶发展为占位性病变,伴随进行性加重的神经功能症状。若任由肿瘤继续发展,极可能导致永久性神经功能缺损并影响手术效果。此外,梗阻性脑积水还可能进一步引发脑疝或不可逆脑损伤。林林面临两难抉择:手术治疗尚存希望,保守治疗则后果难料。最终全家调整心态,决定把握手术机会。

第二章:九日内的治疗决策与手术成效
经过一周左右的咨询评估,林林一家找到巴特朗菲教授进行会诊。"越早切除肿瘤对患者越有利,因为梗阻性脑积水可能产生严重并发症。这类手术我具有丰富经验,该病例并非最复杂情况。不久前在北京天坛医院我就成功完成过类似部位的手术。"巴教授的专业解答让全家深思后最终决定接受手术。
在家人支持下,林林在九天内顺利完成手术。巴教授采用幕下小脑上入路成功切除肿瘤,术后病理证实为生殖细胞瘤。"该类肿瘤实现全切后配合辅助治疗,预后良好,特别是对年轻患者,术后生活无需过多限制。"巴教授的术后随访意见让全家重拾信心。

术后12天林林顺利出院,后续仅需进行放化疗巩固治疗。如今这位少年已重返校园,能够继续与同伴进行篮球等体育活动。通过手术成功解除肿瘤威胁,他获得了更多享受美好生活的机会。
病例来源:巴特朗菲教授2024年国内手术案例
通过该案例可见,对于某些颅内肿瘤患者,适时采取手术治疗可能获得显著疗效。但具体治疗方案需经专业医师全面评估后确定,患者及家属应积极配合医疗建议,争取最佳治疗效果。

胶质瘤
垂体瘤
脑膜瘤
脑血管瘤
听神经瘤
脊索瘤

沪公网安备31010902002694号