"妈妈,我头又痛了,眼睛好像也看不清了……"当10岁的女儿豆豆反复说出这句话时,李女士再也无法安心等待。脑部检查结果出来后,医生指着影像片上大脑深处的小阴影告知:"这里有一个13毫米的囊性病变,形态似'水泡',诊断为囊肿,建议先观察。"
此刻,李女士内心期盼的是这个囊肿能够自行消失。
松果体囊肿真的会自行消失吗?
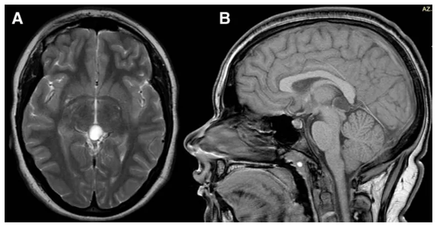
未曾预料,宝贝女儿偶尔提到的头痛、怕光、视物模糊,根源竟在于颅内病变。MRI检查显示豆豆的松果体区存在一直径13毫米的囊肿。

"虽是囊肿,但位置深在,手术风险较高。"医生的一番话让李女士顿时无措。
"好在症状不重,也无脑积水表现,可先观察随访。"
焦虑与不安中,一家人开始了与这个良性囊肿的长期共存。每次随访前,李女士都紧张得难以入眠:"最担心听到'长大了'这三个字。"
随访期间,豆豆的症状未见恶化,囊肿既未增大也未消失。正当家人逐渐放松警惕时,豆豆的头痛发作却愈发频繁且程度加重。
复查MRI时,医生微微皱眉:"囊肿已增长至16毫米,虽仅增大3毫米,但结合症状加重,建议手术干预。"

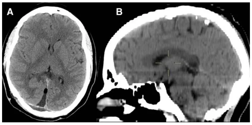
术后过程平稳,豆豆仅出现短暂视力模糊,24小时内自行恢复。病理检查提示为松果体囊肿,周围可见毛细胞样胶质层包绕。术后6个月随访显示豆豆头痛无复发,恢复良好。

本案例引自INC国际儿童脑瘤专家、《Child's Nervous System》现任主编Concezio Di Rocco教授等人发表的研究《Pineal cysts in children: case-based update》。

松果体囊肿的症状与手术指征
松果体囊肿的临床表现多样,可从无症状到猝死不等。不同文献报道的症状与体征存在显著差异。头痛在儿童与成人中均为最常见症状。夜间头痛与褪黑素缺乏的关联已被讨论,但部分病例中头痛与囊肿可能仅为偶然并存。头痛多呈慢性隐匿起病,但突发或急性加重亦不少见。部分患者可出现剧烈额部或枕部头痛,伴凝视麻痹、视野缺损、听力下降、恶心呕吐甚至晕厥。
儿童松果体囊肿的其他可能表现包括动眼神经麻痹、Parinaud综合征、嗜睡、步态异常、眩晕、视力障碍、厌食、轻偏瘫、癫痫、恶心呕吐、心动过缓及视乳头水肿。若囊肿压迫并阻塞中脑导水管,可继发梗阻性脑积水。松果体囊肿卒中或囊内出血虽少见,但可因急性脑积水导致猝死。
囊肿大小与症状发生的关系尚存争议。通常无症状囊肿直径<10毫米,或不超过10-20毫米;而有症状囊肿多>20毫米,但也有直径仅7毫米即出现症状的病例报道。
此外,松果体囊肿曾偶见于视网膜母细胞瘤、性早熟、特发性脊柱侧弯、静止性震颤、Aicardi综合征、婴儿痉挛及热水诱发癫痫等病例中。虽有推测认为松果体囊肿与双相情感障碍相关,但基于松果体体积的MRI研究未证实二者存在确切关联。同样,松果体囊肿与内分泌功能异常的关系似乎也为偶发,因相关内分泌紊乱在囊肿切除后并无改善。
与成人相比,儿童松果体囊肿不仅患病率更高,且出现神经系统体征的概率随年龄增长而上升,因此更易被纳入手术队列。Concezio Di Rocco教授认为,一旦患儿出现临床症状或影像显示囊肿进展,即应考虑手术;而无症状者则应严密随访直至成年。

胶质瘤
垂体瘤
脑膜瘤
脑血管瘤
听神经瘤
脊索瘤

沪公网安备31010902002694号