在神经外科早期发展阶段,脑干区域曾被视为不可触碰的"手术禁区"。回溯百年以前,开颅手术可能依赖榔头、凿子等基础工具,甚至外科医生需用手指进行组织剥离。在那个对大脑解剖结构认知模糊、缺乏麻醉技术、无菌观念和有效止血方法的年代,患者面临极其严峻的生存考验。
直至20世纪80年代,越来越多的脑干病变手术逐步开展。即使将时间回溯至20多年前的1999年,面对大脑这一已知宇宙中最精密的"生物仪器",一台高质量的脑干手术仍然充满未知因素与操作风险。就在那一年,22岁的女性患者吉娜走到了人生的关键抉择点。
临床表现与诊断过程
她的世界开始出现失衡:视物重影,头晕症状发作,行走时身体控制能力下降,左右摇晃,每一步都呈现蹒跚步态,行走困难。医院最终诊断:脑干海绵状血管瘤。在医学术语——复视、共济失调、步态障碍——的背后,是一位年轻女性正在逐渐失衡的生命状态。
手术干预还是保守观察?这是一个即使在当今仍令众多患者纠结的决策选择。而在上世纪末的医疗技术条件下,这一决定更像是一场关乎生命的重大博弈。

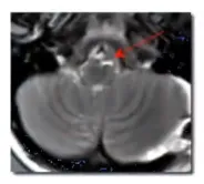
吉娜术前MRI检查结果
1999年,脑干手术究竟能达到何种技术水平?需要认识到,脑干海绵状血管瘤即使在当时世界范围内也鲜有病例报道,更不用说成功手术案例。这种疾病名称中虽包含"瘤"字,但本质上属于血管畸形范畴,是良性病变。这意味着如果能够安全地完全切除,患者有很大机会恢复正常生活。然而这个"如果"背后存在巨大风险——脑干作为生命中枢,手术操作犹如在钢丝上行走,一旦失误将导致严重后果。
但保留病灶等同于在颅内埋藏不定时炸弹。海绵状血管瘤并非静止病变,可能反复出血,每次出血都会导致神经功能"生锈"受损,引起共济失调等症状进行性加重,甚至引发致命性卒中。
治疗决策与手术实施
面对两难抉择,吉娜决心通过手术根除后患。但谁能执行这台手术?此时巴特朗菲教授正潜心研究脑干、丘脑、基底节区等深部位置的海绵状血管瘤手术技术。1974年,巴特朗菲教授已经开始脑干解剖等基础研究,探索如何进入这一"外科无人区"。

1974年的巴特朗菲教授
1991年,巴特朗菲教授发表相关研究《深部海绵状血管瘤的显微外科治疗(附26例报告)》(Microsurgery of Deep-Seated Cavernous Angiomas: Report of 26 Cases),回顾1983年8月至1989年12月期间经显微手术切除的26例深部海绵状血管瘤,其中14例位于脑干内。11例实现完全切除,未产生额外神经功能缺损。

手术结果与长期随访
这场关乎生命的手术结果如何?答案令人欣慰。手术顺利完成后,吉娜的症状获得显著缓解。在2019年的术后20年复查中,她脸上洋溢着灿烂笑容,健康状况良好。这场曾经看似不可能的医疗冒险,为她赢得了长达20年的高质量生活。


2019年的吉娜
脑干海绵状血管瘤手术现状
脑干海绵状血管瘤的手术指征现已明确建立,许多学者报告了令人鼓舞的长期疗效及可接受的并发症发生率。然而现实是,切开致密正常脑干实质以暴露深部海绵状血管瘤,存在损伤邻近长束纤维及脑干内核团的风险,对神经外科医生技术要求极高。
在过去20多年间,巴教授已通过显微手术成功切除一定数量未显露于脑干表面的中脑、脑桥及延髓海绵状血管瘤,并在这些病例中取得令人满意的疗效。基于这些实践,逐渐认识到:经验表明,只要脑干切口小、显微操作轻柔,术后绝大多数病例神经功能缺失极少。
截至2025年,巴教授已为373名脑干海绵状血管瘤患者实施手术,其中包括216名女性患者,157名男性患者,年龄范围1岁至69岁。从手术部位分布来看,104例位于中脑,216例位于桥脑,53例位于延髓。

点击阅读:2025天坛脑网络神外年会INC巴教授脑干海绵状血管瘤手术技术与策略优化
中外专家协作与技术传承
吉娜的故事已是二十多年前的往事,但人类与脑部疾病的较量从未停止。今天,仍有无数罹患复杂脑部病变的患者,在迷茫中踏上寻求希望的漫长征途——从最初的无助、寻求帮助、焦虑等待,直至信任巴教授,最终顺利手术。所幸的是,他们成功了!回望来路,"轻舟已过万重山",但只有亲历者才知道这一路经历了怎样的惊心动魄。

在INC搭建的学术交流桥梁上,中外专家联手破解难题,不仅救治一个个患者。在学术交流中,巴特朗菲教授从不吝啬传授自己的精湛技艺。他相信通过一台台示范手术,技艺"手手相传",青年医师定能奋勇不懈攀登神经外科高峰。

胶质瘤
垂体瘤
脑膜瘤
脑血管瘤
听神经瘤
脊索瘤

沪公网安备31010902002694号