烟雾病患者在接受颞浅动脉-大脑中动脉(STA-MCA)双吻合术后,可能发生出血性脑高灌注综合征(CHS),这一并发症构成潜在致命风险。INC国际神经外科专家川岛明次教授团队通过7例术后出血病例分析,发现局部脑血流(rCBF)增加率可作为关键预警指标,并建立科学管理策略。
烟雾病患者脑组织长期处于缺血状态,STA-MCA直接吻合术旨在改善血流灌注。然而,长期代偿性扩张的脆弱脑血管可能无法适应突然增加的血流冲击,导致血管源性水肿、渗血甚至破裂,引发脑高灌注综合征(CHS),其中出血性CHS起病急、预后差。
川岛明次教授团队监测251台手术,发现7例出血性CHS患者,通过其临床经验总结出有效的预警方案。
病例分析与rCBF监测标准
研究显示,术后即刻监测的局部脑血流量(rCBF)增加率是预测出血的金标准。监测采用两种计算方法:
方法1(横向比较):手术侧rCBF值÷非手术侧rCBF值
方法2(纵向比较):术后手术侧rCBF值÷术前手术侧rCBF值
当rCBF增加率超过阈值(方法1≥30%,方法2≥50%)时,出血风险显著增加。以下7个病例验证了这一规律:
病例1
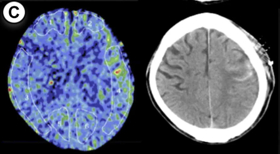
55岁男性,因颅内出血确诊烟雾病,行右侧大脑手术。方法1显示rCBF增加率47%,方法2为55%(超过50%阈值)。术后第3天中断镇静,第2天发生脑出血,改良Rankin量表评分恶化。

病例2
55岁男性,因缺血性卒中确诊,行左侧大脑手术。方法1和方法2的rCBF增加率均为50%,达到预警阈值。术后第1天发现少量蛛网膜下腔出血,因术前规划2天镇静+血压控制,未出现神经功能缺损。

病例3
44岁女性,有短暂性脑缺血发作(TIA)病史,行左侧大脑手术。方法1 rCBF增加率100%,方法2达114%。术后第2天发生脑出血,经1天镇静+严格控压后未遗留神经功能问题。

病例4
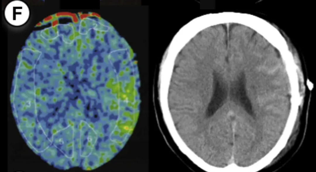
49岁女性,有TIA病史,行右侧大脑手术。方法1 rCBF增加率89%,方法2达133%。术后即时CT无异常,但第5天发现硬膜下血肿合并蛛网膜下腔出血。

病例5
49岁男性,有TIA病史,行左侧大脑手术。方法1 rCBF增加率78%,方法2高达149%。术后第2天发现少量蛛网膜下腔出血,经1天镇静后出血未扩大。

病例6
26岁男性,有TIA病史,行右侧大脑手术。方法1 rCBF增加率63%,方法2达72%。术后第2天发现硬膜下血肿合并蛛网膜下腔出血,经1天镇静后出血吸收。

病例7
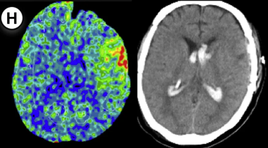
35岁女性,对侧大脑曾手术,行左侧大脑手术。方法1 rCBF增加率77%,方法2达67%。术后第2天发现出血合并脑室内出血,经预先规划的镇静干预未出现严重后果。

7例病例年龄范围25-55岁,出血类型包括脑出血(ICH)、蛛网膜下腔出血(SAH)、硬膜下血肿(SDH)及混合出血,发病时间集中于术后1-5天。所有病例rCBF增加率均超过阈值,证实了预警系统的可靠性。
术后管理三步骤方案
第一步:术后rCBF精准监测
通过氙气增强CT,在大脑中动脉供血区固定部位测量rCBF,术后即时完成首次检测。
第二步:分层干预方案
低风险(方法1<30%、方法2<50%):短期镇静+常规控压
中风险(方法1 30%-100%、方法2 50%-100%):持续镇静24-30小时+严格控压
极高风险(≥100%):镇静36小时以上+多次复查
第三步:干预连续性保障
rCBF未降至安全范围前,不得中断镇静或放松血压控制。
烟雾病搭桥术的成功不仅取决于血管吻合技术,更依赖于对高灌注风险的精细管理。术后早期进行rCBF量化评估并实施分层管理,是提升手术安全性的关键。对患者而言,了解高灌注风险并配合ICU期间的血压控制和镇静治疗至关重要。

文献来源:Akitsugu Kawashima, et al. Predicting the Occurrence of Hemorrhagic Cerebral Hyperperfusion Syndrome Using Regional Cerebral Blood Flow After Direct Bypass Surgery in Patients with Moyamoya Disease. 2018

胶质瘤
垂体瘤
脑膜瘤
脑血管瘤
听神经瘤
脊索瘤

沪公网安备31010902002694号