颅内肿瘤若未及时接受手术治疗,其体积可增长至何种程度?当主治医生告知肿瘤直径已达10厘米时,26岁的患者路易感到十分震惊。病症初始仅为颈部疼痛,随后竟进展为严重的吞咽困难。影像学检查最终揭示,其颅颈交界区存在一巨大脊索瘤,该肿瘤最大直径约10厘米,总体积约为96.5立方厘米,尺寸堪比一个橙子。
医生进一步解释,该肿瘤已侵入椎骨前方的间隙、侵蚀了下斜坡骨质,并且占据了双侧枕骨髁、第一颈椎前弓及第二颈椎齿状突的区域。更为凶险的是,这一巨大占位性病变对脑干形成了严重压迫,致使左右椎动脉发生移位,甚至突破硬脑膜向更深部区域侵袭扩张,几乎将这一生命要道挤压成“一线天”的狭窄状态。
本病例来源于INC国际神经外科医生集团旗下世界神经外科顾问团(WANG)成员、世界神经外科联合会(WFNS)颅底手术委员会前主席Sebastien Froelich教授(塞巴斯蒂安·福洛里希教授)发表的学术论文。面对如此位置深在、体积巨大的脊索瘤,福洛里希教授如何运用其精湛的手术技巧,完成这一高难度的精准切除手术?下文将进行详细阐述。
高风险巨大脑瘤,手术能否实现安全全切?
患者路易的主要临床症状表现为颈部疼痛、严重的吞咽障碍以及双侧舌下神经麻痹(右侧为完全性麻痹伴舌肌萎缩,左侧为部分性麻痹)。为直观了解路易颅内肿瘤的实际大小,可参考下方影像图片。

脊索瘤属于一种较为罕见的骨源性肿瘤,尽管其病理学分级较低,但具有侵袭性生长的生物学特性,在局部区域的侵袭能力非常强。

影像学检查确实显示,路易颅内的肿瘤已对连接颅骨与颈椎的骨性结构造成了严重的破坏性改变。在手术切除肿瘤之后,该区域的骨骼稳定性将难以维持。可以做一个形象的比喻:颅颈交界区如同连接“头部”(颅骨)与“躯干”(脊柱)的精密榫卯结构。肿瘤破坏了这个结构。外科医生在手术中不得不移除这个已被破坏的“榫卯”,但在取出肿瘤后,必须立即使用“钢板与螺钉”(即内固定系统)将这个连接部位重新进行牢固的固定与加固,否则头部的稳定性将无法保障。
因此,在切除肿瘤的同时,必须充分考虑患者术后的生活质量。福洛里希教授最终选择了远外侧经髁入路,并联合应用显微镜与神经内镜进行肿瘤切除,随后实施了枕颈融合术。肿瘤切除后,还需使用聚甲基丙烯酸甲酯(PMMA)材料对右侧枕骨髁进行重建,以避免后续进行质子治疗时影像检查出现金属伪影。
手术在显微镜下暴露肿瘤并实施切除,随后使用神经内镜进行辅助探查,以备必要时进行内镜下操作。神经内镜能够提供更为清晰与广阔的术野,从而有助于精确分辨肿瘤边界及其浸润范围,避免损伤周围正常组织,实现肿瘤的进一步切除。

使用自体脂肪组织填充肿瘤切除后的残腔并完成关颅操作,同时使用PMMA材料进行枕骨髁重建。采用Roy-Camille技术实施枕颈融合术(固定节段为C0-C3-C4-C5),固定连接杆被弯曲成特定弧度,旨在为后续的质子治疗创造一个无金属干扰的定位与治疗通道。
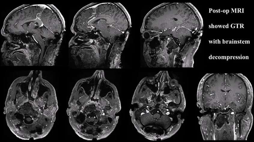
术后计算机断层扫描(CT)与磁共振成像(MRI)复查显示肿瘤已被完全切除,脑干及延髓所受的占位性压迫得到有效解除。术后病理学检查证实为典型脊索瘤。在术后恢复期间,患者的吞咽功能得到改善,颈部疼痛亦得以缓解。术后第八周,他接受了质子束放射治疗。
▼术后磁共振成像(MRI)显示肿瘤获得完全切除,且脑干压迫得到解除


图A和图B:术前CT扫描显示颅颈交界区脊索瘤,侵犯斜坡-枕骨髁并呈溶骨性破坏。
图C:术前磁共振成像(MRI)显示肿瘤巨大,并向硬膜内脑实质浸润性生长。
图D:术后CT扫描显示PMMA材料进行的枕骨髁重建稳定性良好。
图E:术后三维CT重建显示C0-C3-C4-C5节段的枕颈融合稳定性良好,连接杆的弯曲设计有利于后续的质子束放射治疗。
图F:术后磁共振成像(MRI)显示肿瘤被完全切除,脑干及延髓的占位压迫已解除。
福洛里希教授研究分享
脊索瘤是一种起源于脊索细胞残余的罕见中线肿瘤。在成人患者中,最常见发病部位为骶骨区域(约占50%),其次为颅底及颅颈交界区(约占30%)和活动性脊柱节段(约占20%)。诊断时的平均年龄约为55岁,而颅底脊索瘤通常累及相对年轻的人群。肿瘤全切除联合质子束放射治疗被推荐为理想的治疗策略。
由于病灶具有侵袭性且位置深在,实现肿瘤全切除常常伴随显著的手术风险。尤其需要指出的是,根据文献报道,颅颈交界区脊索瘤的预后通常较颅底脊索瘤更差。此类肿瘤倾向于侵袭斜坡、岩骨、枕骨髁、C0-C1及C1-C2关节、上颈椎,导致骨质破坏和颅颈交界区不稳。它们也常向椎前间隙和咽旁间隙的软组织延伸,使得完整切除更加困难。椎动脉受累亦是常见表现。
当病灶体积增大到一定程度时,常表现为颈部疼痛或与脑干及后组颅神经受压相关的系列症状。基于上述原因,颅颈交界区脊索瘤仍然是神经外科领域的一项挑战,手术入路的选择需依据肿瘤的扩展范围以及手术者的经验而定。
由于肿瘤常位于中线区域,前方入路如扩大内镜经鼻入路和经口入路常被优先考虑。然而,颅颈交界区脊索瘤亦倾向于向侧方扩展,这降低了单纯依靠前方入路实现肿瘤最佳切除的可能性。此外,此类手术常需同期进行枕颈融合术。在此类情况下,前外侧入路、后外侧入路或多阶段联合手术策略可能更为适宜。
与此同时,内镜辅助经颅技术的不断完善及其广泛应用,正在不断突破传统显微外科的视野局限,改善了手术区域的暴露,使术者的视野能够更接近靶区目标。
颅颈交界区脊索瘤的手术策略
颅颈交界区脊索瘤仍是外科手术的难题。《脊索瘤全球共识》及先前关于颅颈交界区脊索瘤的报道均指出,在可能保留神经功能和生活质量的前提下,肿瘤全切除应作为手术的目标。考虑到该疾病的罕见性与复杂性,颅颈交界区脊索瘤应在术前由包含神经外科和放射治疗专科医师在内的多学科团队进行讨论,以制定最优化的治疗策略。
多种手术入路已被描述,各自具备其优点与局限性。鉴于颅颈交界区脊索瘤主要位于硬膜外且沿中线生长,前正中入路常被采用。经口入路是抵达颅颈交界区前部最为直接的途径。尽管该入路可以良好地显露C1-C2节段,但对于斜坡上部及肿瘤的外侧部分,仅能通过更广泛的联合入路才能抵达,而这会增加手术并发症的风险。
在过去十年中,采用内镜经鼻入路处理颅颈交界区脊索瘤的比例逐渐增加,旨在避免经口入路的某些缺点。肿瘤向上延伸至斜坡的部分易于通过此入路抵达,且位于软腭上方的黏膜切口降低了经口入路相关并发症的风险。然而,内镜经鼻入路在处理颅颈交界区肿瘤时,在以下情况下更具挑战性且风险更高:
-
肿瘤延伸至颈静脉孔及后组颅神经区域;
-
肿瘤向下延伸至齿状突尾侧;
-
肿瘤侵犯硬膜内并包绕血管及颅神经;
-
肿瘤累及椎动脉硬膜外段;
-
存在颅颈交界区不稳。
此外,脑脊液漏的风险亦随硬膜缺损的大小而增加。
事实上,当脊索瘤明显向颈静脉孔和后组颅神经的外侧扩展,或向后外侧延伸至椎动脉区域时,前外侧入路、后外侧入路或多阶段手术策略通常更受青睐。前外侧入路允许术者抵达位于前方的颅颈交界区病变,可早期控制椎动脉,并能在不牵拉脑干的情况下抵达下斜坡。相反,其局限性在于难以抵达中/上斜坡、对侧区域及对侧椎动脉,且无法在同一手术阶段完成双侧枕颈融合。然而,内镜的使用可将手术通道扩展至中、上斜坡区域。
Heros以及Spetzler和Graham提出了经髁钻孔的后外侧入路以抵达枕骨大孔腹侧面。1995年,George和Lot推广了后外侧入路中椎动脉移位技术,以扩大处理枕骨大孔肿瘤的手术通道。与前外侧入路相比,远外侧经髁入路所需的软组织分离范围较小,且无需处理颈部大血管和控制副神经,使其成为所有神经外科医生更为熟悉且更易操作的手术方式。该入路还可提供抵达椎动脉V3-V4段周围、颈椎后关节及椎板后部的双侧后部扩展区域的通路。相反,抵达上、中斜坡仍是其主要限制。
“双镜联合”的优势
在综合权衡各种入路的优缺点后,我们在经典的远外侧经髁入路基础上,整合了显微镜和内镜辅助技术,旨在突破手术困境。利用脊索瘤本身造成的硬膜外通道,磨除的枕骨髁成为深部锁孔,通过此孔可切除肿瘤的同侧部分、前部及对侧部分。如先前报道所述,手术入路侧别的选择依据肿瘤侵犯枕骨髁的具体情况而定。
若肿瘤向双侧延伸,则必须综合评估术前影像以确定主要受累的枕骨髁、主要的侧方扩展方向以及主要受累的椎动脉。随后,当显微镜视野不足时,引入成角内镜可提供更高的放大倍数和可旋转的视野,从而暴露显微镜下的盲区、发现微小的肿瘤残余并切除硬膜内部分。然而,内镜辅助的远外侧经髁入路有时需要联合前外侧入路以处理延伸至C2以下的病变,或联合内镜经鼻入路以处理明显向上延伸至上斜坡和蝶窦的病变。
Tardivo等人发表的研究证实了内镜辅助远外侧经髁入路抵达上斜坡及双侧咽后间隙的可行性。根据我们的经验,如示例病例所示,我们利用成角内镜通过单侧入路亦能暴露肿瘤的对侧及整个颅颈交界区。
此外,该手术通道为脊索瘤的硬膜内部分提供了良好的视野,便于对神经血管结构进行双手分离操作。最后,正中切口最终允许实施双侧远外侧入路,以利于切除那些从后方双侧包绕硬膜外椎动脉的肿瘤。远外侧经髁入路的关键步骤之一是早期显露椎动脉。椎动脉V3段可能因肿瘤而移位、被包绕或闭塞。关于球囊闭塞试验的指征目前仍存在争议。
在福洛里希教授所在的医疗中心,当对侧椎动脉与椎-基底动脉汇合处不相通或明显发育不良时,会进行球囊闭塞试验。当双侧椎动脉均受累时,仅应在确保同侧椎动脉安全且无明显不对称的情况下,再行对侧椎动脉的肿瘤分离。若意外牺牲了椎动脉,应中断手术或在处理对侧椎动脉前,于同侧椎动脉与枕动脉之间行搭桥术以确保血流保留。
因此,手术入路侧别的规划不仅基于枕骨髁破坏情况和肿瘤侧方扩展范围,还需充分考虑椎动脉的受累程度。
研究结果表明,颅颈交界区脊索瘤患者应转诊至同时精通显微镜和内镜技术的颅底外科中心。
颅颈交界区不稳的处理
关于脊索瘤切除后颅颈交界区不稳的处理时机和治疗必要性,目前仍不明确。根据福洛里希教授等的经验和先前报道,由于广泛的骨侵蚀和韧带受累,或当超过50%–75%的枕骨髁被磨除时,枕颈融合术通常是不可避免的。
若术前高度怀疑存在不稳,则需计划进行融合手术。这是选择最佳手术入路的一个关键考量点。
在该论文中,采用中立俯卧位及从C7延伸至枕部的曲棍球棒形切口,使我们能在同一台手术中对超过50%的患者实施枕颈融合术。然而,必须谨记脊索瘤的治疗需遵循包含质子束放射治疗在内的多模式策略。因此,融合术应在质子束放射治疗前进行,但仅限于必要时,以避免放疗期间产生金属伪影。
如上述病例所示,连接杆可被弯曲成特定的曲线形状,从而为质子束放射治疗创造前后方向的无金属通道。
结论
本研究展示了整合显微外科和内镜辅助技术如何使术者能够显露并切除大型颅颈交界区脊索瘤,从而减少分期手术的必要性。角度内镜是关键工具,可提供从C2至上斜坡直至对侧区域的肿瘤全景视野。正中切口亦允许安全处理肿瘤的双侧后方扩展及椎动脉。在存在明确颅颈不稳的情况下,俯卧位允许在同一手术中完成枕颈融合。

胶质瘤
垂体瘤
脑膜瘤
脑血管瘤
听神经瘤
脊索瘤

沪公网安备31010902002694号