这个疾病的关键就是在第一次手术,如果第一次手术做不好的话...
更新时间:2026-05-15 10:05:23
当两个同患颅底肿瘤的家庭找到INC福洛里希教授询问手术方式时...
更新时间:2026-05-04 09:25:18
脊索瘤是一种罕见但极具侵袭性的恶性肿瘤,发生在人体最重要的...
更新时间:2026-03-31 10:03:09
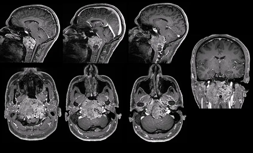
肿瘤的侵犯范围如此之大,意味着治疗将面临重重障碍:手术全...
更新时间:2026-03-27 09:46:38
异常表现不仅限于手部,面部及上半身也开始出现不自主动作。...
更新时间:2026-03-07 21:19:32
颅内肿瘤若未及时接受手术治疗,其体积可增长至何种程度?影...
更新时间:2026-03-06 10:16:29
国际颅底手术权威、INC福洛里希教授对此持有深邃见解。他始终...
更新时间:2026-02-23 09:57:32
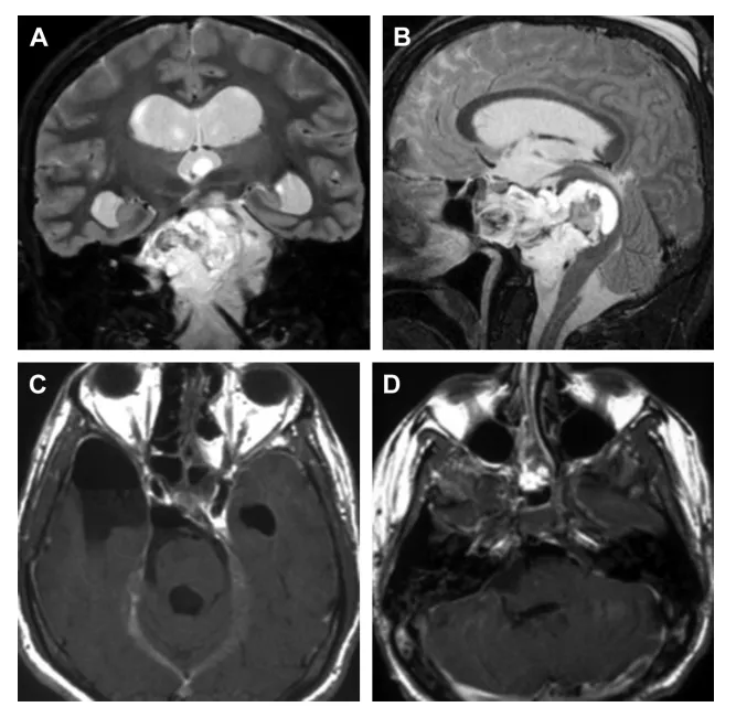
12岁男性患儿小海,影像学检查发现颅底斜坡区存在33×26×33mm巨大...
更新时间:2026-02-11 09:43:50
本例复杂脊索瘤病例肿瘤位于关键解剖区域——斜坡上部,且已...
更新时间:2026-02-02 11:40:49
6岁男性患儿林林因低热、全身乏力及行走不稳等症状就诊。头颅...
更新时间:2026-01-28 10:02:08
声音嘶哑可能作为肿瘤预警信号存在。33岁男性患者遭遇巨大脊索...
更新时间:2026-01-19 11:46:35
患儿既往活泼好动,喜爱舞蹈表演,但近一个月出现颈部活动障...
更新时间:2026-01-13 09:57:52
一位颅底术后患者复查时提出疑问:“医生,我脖子后面固定的...
更新时间:2025-11-28 10:28:32
福教授强调:脊索瘤确诊后应寻求专业团队治疗。针对Jenkins的职...
更新时间:2025-11-08 08:44:16
脊索瘤是一种手术全切极其困难、复发率较高、手术风险显著的...
更新时间:2025-10-28 18:11:06

Cases of Chinese Patients
Academic Visits
International Treatment