脑瘤具有高度侵袭性
在短短四年期间,该病例连续经历四次复发,每次复发均伴随肿瘤恶性程度进一步加重。Ki-67指数从初始1%急剧上升至30%。一名七岁患儿究竟所患为何种罕见脑瘤,其最终又是如何成功获得救治的?
病例呈现
一名年仅7岁的儿童因额头区域出现异常肿大而接受医疗检查,影像检查结果令人震惊——CT显示其右侧额骨存在溶骨性病变,且病灶已穿透骨板及颅骨外板。为明确诊断并解除病灶,医疗团队决定施行手术切除,但术后病理发现远超预期。
手术过程与病理发现
手术实现了额骨肿块的完整切除。切除组织证实肿瘤已侵犯颅骨外板,断面呈橡胶样纤维质地。
	
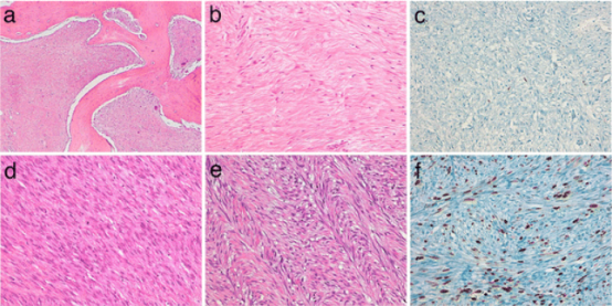
全面的免疫组化评估显示,病变为低细胞密度、轻度异型性的纤维母细胞增生,伴有原有松质骨及皮质骨浸润(图a)。该肿瘤由低密度梭形细胞构成(图b),Ki67增殖指数为1%(图c)。
	
然而在术后四年的随访中,患者共出现四次局部复发,每次复发时组织学分级均较前提高,最终确诊为成人型纤维肉瘤。至第三次复发时,组织学显示细胞密度显著增高,伴中度异型性及偶见核分裂象(图d),肿瘤被确认为高级别纤维肉瘤,呈典型“人字纹”排列结构(图e),Ki67指数高达30%。
关于纤维肉瘤
纤维肉瘤为一种起源于成纤维细胞的恶性肿瘤,临床并不多见。该病可发生于任何性别与年龄群体,高发年龄通常为30–70岁,10岁以下发病较为罕见,如本例发生于儿童额骨的成人型纤维肉瘤更是少数。头颈部起源的纤维肉瘤相对少见,肿瘤可含数量不等的胶原纤维,瘤细胞多呈鱼骨样或人字形排列。
婴儿型纤维肉瘤
亦称先天性纤维肉瘤,多在出生时或婴儿早期出现。肿瘤生长快速,可形成巨大占位,表面皮肤可发生水肿或溃疡。但其转移倾向较低,整体治愈率较高。主要治疗方式为手术完整切除,预后较好:十年生存率达90%,病死率低于5%,局部复发率介于25%–40%,转移发生率为8%–15%。
成人型纤维肉瘤
该类型常见于20–60岁成年人,但也可累及儿童及青少年。与婴儿型相比,成人型纤维肉瘤通常侵袭性更强、治疗难度更大。标准治疗方案为手术广泛切除,复发率为12%–79%,五年生存率约为55%,约四分之一病例可从低级别转化为高级别肿瘤。
治疗原则概述
	  纤维肉瘤以外科切除为主要治疗方式。对于成人患者,需力求切除彻底;儿童患者虽切除范围要求较成人宽松,但仍需保证切缘广泛。成人病例及高级别纤维肉瘤应实行根治性边缘切除。放疗与化疗仅显示中等或不稳定的疗效,因此通常作为辅助治疗手段使用。
	 

胶质瘤
垂体瘤
脑膜瘤
脑血管瘤
听神经瘤
脊索瘤

    
    
    
沪公网安备31010902002694号