孩子手脚越来越没劲却没当回事,没想到他一直在经历"反复脑干出血"
今年37岁的陈先生每每回想起那段日子,仍然悔恨不已。他的儿子阳阳5岁时,险些因为一个脑干海绵状血管瘤而走到绝境。最初不过是头痛、呕吐,之后却慢慢演变为肢体无力和面瘫,而这一切,陈先生起初都没放在心上。直到手术前半个月,阳阳突然连话都说不出来,陈先生才追悔莫及——要是早些重视,早些安排手术,孩子根本不必躺进ICU,也不必承受这些痛苦。
01 儿子的力气越来越小
事情要从更早说起。阳阳大约3岁的时候,就已经开始出现头痛和呕吐,陈先生起初以为是感冒,但用药之后情况并未见好,孩子仍然时不时喊头疼。紧接着,陈先生又发现阳阳走路频繁摔跤,手也拿不稳东西。即便如此,这些变化依然没有引起他足够的重视,直到阳阳4岁那年,突然出现了面瘫。

这才如梦初醒的陈先生赶忙带着孩子就医,检查结果令他震惊——阳阳的脑干位置长了一个海绵状血管瘤。医生告诉他,阳阳属于活动性脑干出血,此前所有的那些异常表现,全都是反复脑干出血造成的。
陈先生在心里默默定下一个念头:无论付出什么代价,都要为儿子找到最好的专家,绝不能再让他受到伤害。然而医生接下来的一番话,让他的心又揪了起来:"病变在脑干,手术难度极大,术后孩子的状况很可能比现在更差,最坏的结果是下不了手术台,我的建议是先保守观察,但最终还是要由家属来决定。"
"你先回去和家里人商量商量吧。"走出医院的陈先生百感交集,心里既有对儿子的愧疚与心疼,更有一份不惜一切也要救他的坚定。哪怕是求助国际上最顶尖的专家,他也绝不放弃。
02 病情急转直下,等不了了
那段时间,陈先生凭借自己的人脉打听到了德国的巴特朗菲教授,也和不少曾在国内接受过巴教授示范手术的患儿家庭深入交流过,看着那些孩子如今生龙活虎的样子,陈先生心里头一次燃起了希望。
最终,陈先生没有再考虑其他选择,而是直接带着阳阳飞赴德国,来到巴教授所在的医院。然而计划赶不上变化,谁都没想到,阳阳的病情在此期间突然急剧恶化。手术前半个月,孩子出现了言语障碍,话说不出来,连"爸爸"两个字都喊不了,随即被转入了ICU。
幸运的是,手术依然取得了成功。尽管阳阳病情进展迅速,巴教授仍凭借多年积累的临床经验从容应对。在脑干这块"险地"上,巴教授不仅将病灶完整切除,更将周围的神经血管悉数保护完好,没有造成任何新的损伤。
得知消息的陈先生喜极而泣,双手紧握着巴教授的手,连声致谢。彼时阳阳已平安转回ICU,尚未从麻醉中苏醒,但属于他的新生,就此开始。
术后当晚——神志清醒
阳阳从麻醉中苏醒,意识清晰,反应正常,四肢活动自如。
术后第2天——回到普通病房
顺利转出ICU,回到普通病房,与家人重聚。
术后第3天——自主进食
阳阳已能自己持筷吃饭,饭后拿出最爱的小汽车玩耍,和爸爸妈妈说话流畅、口齿清晰,还兴高采烈地列出自己的心愿单,期待回国后一一实现。
术后第5天——行走玩耍
阳阳可以独立行走,并在护士陪同下做康复锻炼,一起滚球游戏。
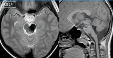
术后3年——顺利入学
阳阳已如期升入小学,开启全新的生活篇章。随访期间未见复发,此前的肢体无力和麻木症状也已明显好转。

03 巴教授的建议
多年来,不少向巴教授咨询的家属都会问同一个问题:孩子症状不重,甚至根本没有症状,但脑干手术风险又这么高,真的没有什么药物或者放疗能替代手术吗?
对此,巴教授的回答始终是否定的。这与脑干海绵状血管瘤本身的特性密切相关——手术是目前唯一能够根治的手段。而手术能否成功,主刀医生的技术水平无疑是决定性因素。在脑干上动刀,不仅要求术者对解剖结构有深刻理解、对手术入路有精准设计,还需要具备精细娴熟的操作能力,以及足够的耐心与意志力,任何一个细节的闪失,都可能带来难以承受的后果。
脑干海绵状血管瘤就像在脑子里埋下了一颗"定时炸弹",没有人知道它什么时候会爆——也许是在孩子运动的某个瞬间,也许是在某个再普通不过的夜晚。不只是孩子本人,整个家庭都将长期生活在提心吊胆之中,每一次头疼、每一次乏力,都让人担惊受怕,这种阴影会始终笼罩着整个家庭。
保守观察并非最优解,本质上不过是一种等待——等待一位真正能够安全、彻底切除病灶的主刀医生出现。陈先生一家是幸运的,他们如愿以偿,也收获了令人欣慰的预后结果。希望更多的家长也能够把未知变为已知,主动掌握孩子命运的主动权。

胶质瘤
垂体瘤
脑膜瘤
脑血管瘤
听神经瘤
脊索瘤

沪公网安备31010902002694号