17岁患者琳娜长期受癫痫发作困扰,疾病导致其产生显著自卑心理。临床表现为课堂上无意识走神发呆、体育课突发倒地抽搐、睡眠中无意识颤抖等症状。多种药物治疗方案效果有限,最终通过手术治疗实现根本性改善。术后患者摆脱癫痫发作,持续5年保持无症状状态,时常回顾此次改变人生的手术经历。
癫痫频繁发作与求医历程
琳娜多年来持续受癫痫发作影响,相较于躯体症状,疾病带来的社会关注更令其困扰。为控制癫痫发作,患者及家属辗转多家医疗机构寻求治疗,但药物治疗始终未能带来显著改善。
患者不得不尝试与癫痫共存,并适应他人的异常关注。然而癫痫症状并未缓解,频繁夜间发作导致患者不堪其扰,右臂功能受到严重影响。
琳娜出现右臂抓握功能受限,在父母陪同下再次就医,最终就诊于SickKids医院Rutka(鲁特卡)教授。该教授在儿童难治性癫痫领域具备丰富临床经验。

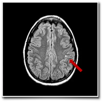
多技术联合定位:囊性病变的精准识别
为实现癫痫的精准治疗,鲁特卡教授强调术前评估需全面精确,常规评估技术包括磁共振成像(MRI)及脑磁图(MEG)。

琳娜的MRI检查显示顶叶区域存在小型囊性病变,该病灶被确认为癫痫频繁发作的责任病灶。脑磁图进一步在管理躯体感觉的中央后回区域监测到异常癫痫样放电。下图分别显示矢状位(左)和轴位(右)Rolandic区(中央区)棘波簇(黄色点带橙色轮廓)。

手术干预作为药物难治性癫痫(DRE)的有效治疗手段,其成功关键在于正确患者选择及致痫灶精准识别。患者通常需接受系列放射学、神经生理学及功能评估,后进行多学科综合评估。
脑磁图(MEG)作为评估过程的重要工具,能够指导术前及术中决策。MEG属于神经生理学技术,通过测量大脑产生的微小磁场实现功能评估。临床实践中常与磁共振成像(MRI)结合使用,创建磁源成像(MSI),将记录到的脑部活动映射至患者三维解剖结构。该技术作为功能性神经影像学方法,特别适用于难治性癫痫的术前评估及术中导航。
手术治疗与长期疗效
经鲁特卡教授综合评估,确认患者具备手术指征。获得患者及家属知情同意后,实施手术治疗。
术中采用颅内电极监测技术,精确定位致痫灶位置。在鲁特卡教授主刀下,成功完成中央后回病灶切除术。手术过程顺利,未出现新发神经功能缺损。
术后疗效显著,琳娜维持5年无癫痫发作,治疗效果理想。患者最终得以摆脱疾病束缚,恢复正常生活。
案例来源:INC国际鲁特卡教授沙龙演讲分享

胶质瘤
垂体瘤
脑膜瘤
脑血管瘤
听神经瘤
脊索瘤

沪公网安备31010902002694号