过去12年的时光被分割为无数记忆片段,对42岁的林先生而言,这段岁月宛如一场无休止的“车轮战”。尽管他始终面对同一个对手——那个巨大而顽固的脑膜瘤,但无论更换多少种“战术”,结果似乎总以失败告终,并迫使他付出巨大代价:面瘫与失聪……
然而,当12年后他从病房中苏醒时,仿佛听到了宣告胜利的哨声。妻子熟悉的声音带着前所未有的喜悦响起:“与10年前那次手术相比,这次他术后状态改善显著!”
病床旁,主刀医生巴教授仔细检查他的身体状况,本次术后未出现新发神经功能缺损,精神恢复迅速。巴教授称赞道:“表现很棒!”林先生终于体会到迟来的欣慰:这个曾逃过初次手术、两次伽马刀和中药治疗的脑膜瘤,最终被成功击败。

初次手术与两次伽马刀治疗后的面瘫与复发经历
30岁时,林先生因反复头晕发作被检出右侧岩斜区占位性病变。自此,时间划下清晰的分界线——此前是平凡温馨的生活,此后是迷茫的浓雾,他与妻子站在线后无助对视。
尽管医生告知手术无法全切,林先生仍接受了首次肿瘤切除手术。但这次手术并未带来好运,术后出现面瘫症状,病理报告显示为脑膜瘤(WHO I级)。
更意外的是,这个生长缓慢的肿瘤在不到一年内复发!首战失败后,林先生决定更换“战术”,接受伽马刀治疗。两年后,第二次伽马刀治疗顺利完成。
此后,林先生稍感安心,开始中药调理并定期随访,状态看似稳定。但六年后,意外转折再次将他们推入绝望。
耳部异物增生与脑膜瘤急剧进展
2021年,林先生右侧耳朵持续流液伴发热,检查发现耳内长出异常“肿瘤”。为切除异物,他再次手术,术后病理诊断为“不能除外脑膜瘤(Ki67约3%)”。但此次手术导致右耳完全失聪。
事实上,右耳流液症状在首次开颅手术后即已出现,医生判断可能为术后脑脊液漏。尽管林先生身心俱疲,脑膜瘤并未“放过”他,仍持续进展。
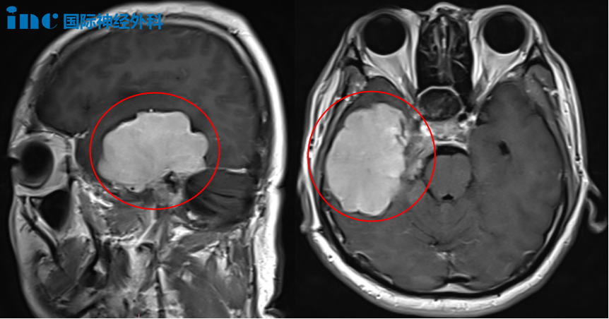
三年后复查MRI显示肿瘤显著增大,侵犯右侧岩斜区、右颞底、乳突区及右侧小脑幕,甚至将三叉神经和滑车神经完全包裹。其中右颞叶病灶达32×31×25mm。一年后,脑膜瘤继续生长,右颞叶病灶增至惊人的67×49×47mm!

面瘫、失聪……肿瘤用尽手段试图击垮林先生。但12年的抗争未消磨他的勇气,在家人支持下他愈战愈勇,因他深知家人的爱是最大底气。
最终手术成功扭转战局
找到巴教授成为林先生一家的转折点。他们铭记巴教授的咨询回复,重燃手术希望。
巴教授回复:“手术具明确指征,可行性极高。既往伽玛刀治疗不影响本次手术。最佳时机为患者身体条件允许后尽早实施;但为避免肿瘤进展及不良后果,手术需在今年年底前完成。该部位手术风险较低,预后良好。”

考虑后,林先生一家毅然前往北京天坛医院接受巴教授手术。术中,巴教授通过精细操作完整剥离肿瘤,实现满意切除。为预防脑脊液漏,还使用患者大腿筋膜进行修补填充。
手术顺利令林先生妻子激动不已,术后第一天巴教授查房时,她感慨:“与10年前手术相比,这次术后状态好太多!”巴教授检查确认林先生精力恢复,肢体运动无碍,欣喜称赞:“很棒!”
这场与脑膜瘤的12年“车轮战”终告结束,林先生真正逃离劫难。胜利的号角不仅是过去的终点,更是他与家人新生活的起点。
案例来源:巴教授2025年9月国内手术案例

胶质瘤
垂体瘤
脑膜瘤
脑血管瘤
听神经瘤
脊索瘤

沪公网安备31010902002694号