"我们不愿继续等待,病情已经不容延误!"在苏州大学附属儿童医院,这句话道出了众多脑瘤患儿父母的心酸与无奈。对于神经外科疾病而言,时间因素至关重要,特别是对儿童患者。年幼的身体难以承受肿瘤的持续侵害,越早进行手术治疗,身体功能恢复越快,患儿也能尽早摆脱疾病困扰。
12岁女孩诺诺出现突发性头晕、呕吐及食欲减退症状,影像学检查发现左侧丘脑占位性病变,大小约37mm×45mm×40mm,第三脑室受压,双侧脑室增宽。面对这一诊断结果,诺诺父母犹如遭受晴天霹雳,迫切希望立即手术解除病痛。然而,当肿瘤位于大脑深部且体积巨大时,治疗决策变得尤为艰难。

确保手术安全并尽快实施成为诺诺父母的首要诉求。自得知孩子病情后,他们就开始与疾病赛跑。在焦急寻求解决方案的过程中,他们获悉巴特朗菲教授来华进行学术交流的消息。不愿放弃任何治疗希望的他们,在得到教授肯定的手术评估后,毅然决定接受手术治疗。
令人欣慰的是,在面诊咨询数小时后,手术顺利完成,肿瘤切除效果满意。

丘脑手术的神经外科挑战

丘脑作为人体感觉传导的重要中继站,虽然体积仅为3cm×1.5cm,却承担着人体80%以上的功能调控。除嗅觉外,所有感觉传导通路均在丘脑更换神经元后投射至大脑皮层。可以形象地说,丘脑如同一个信息转换器,一旦损伤可能导致患者对外界刺激反应迟钝。

丘脑位于脑组织深部,其前下方与下丘脑及中脑相邻,约50%的表面被内囊包绕。作为大脑与周围神经的联络中枢,丘脑在调节感觉、运动、觉醒、决策、注意力、记忆及视听功能等方面具有重要作用。长期以来,丘脑手术被视为"手术禁区",稍有不慎可能导致偏瘫、视力丧失、语言功能障碍甚至昏迷等严重并发症。
值得庆幸的是,INC巴特朗菲教授早已突破这一技术壁垒,成功完成多例丘脑肿瘤手术并发表相关案例报告。近年来,在国内进行的示范手术中,他已为多位丘脑肿瘤患者成功切除病灶。

典型病例分析
病例一:13岁男性丘脑-中脑胶质瘤患者
今年8月,13岁男孩新城接受巴教授主刀的手术治疗。手术过程让参与医生深感技术难度:肿瘤位于丘脑-中脑这一复杂区域,手术路径狭长,操作空间有限,且周围布满重要神经血管;肿瘤边界不清,正常脑组织与病变区域呈浸润性生长,对手术精度要求极高;脉络膜后内侧动脉被肿瘤完全包绕,重要血管穿行其中。术后第一天患者即恢复活力,第三天已能独立行走。

点击阅读:高难度丘脑-中脑胶质瘤手术成功后,仅1天他就活力十足,家人激动不已!
病例二:10岁男性丘脑胶质瘤患者
这位左侧丘脑占位患儿肿瘤呈弥漫性生长,已侵入脑实质。手术过程中任何细微偏差都可能引发严重后果。在巴教授主刀下,手术当天患儿即转入普通病房,神经功能检查显示握拳、抬腿等动作正常。

点击阅读:10岁男孩开颅术后竟无需进ICU——这个位置0.1毫米失误都不可以!
病例三:52岁女性丘脑胶质瘤患者
陈女士体检发现右侧丘脑直径12mm阴影,确诊为低级别胶质瘤。因肿瘤位置深在,手术风险较高,多家医院均建议保守治疗。最终巴教授成功为其手术,术后第一天患者意识清楚,四肢活动正常,随访两年无复发。

病例四:青年女性丘脑海绵状血管瘤
法学专业学生小雨确诊右侧丘脑海绵状血管瘤伴出血。从出现症状到成功手术仅23天,术后三个月即重返校园,各科成绩优异。

点击阅读:这种脑瘤手术可能变“木头人”? 20岁法学才女仅用23天战胜丘脑海绵状血管瘤!
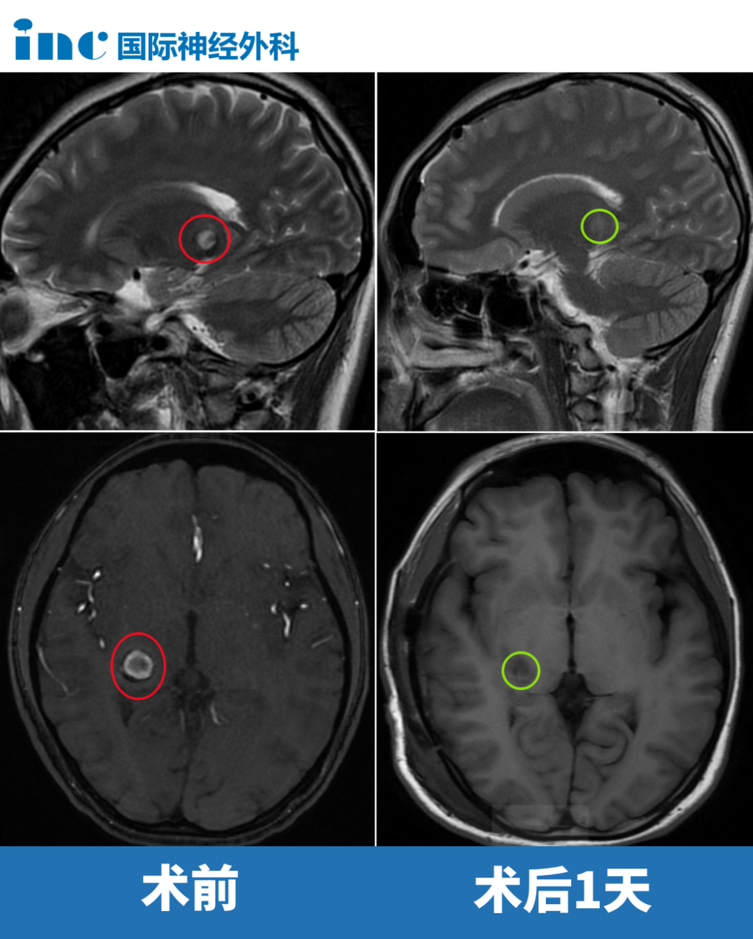
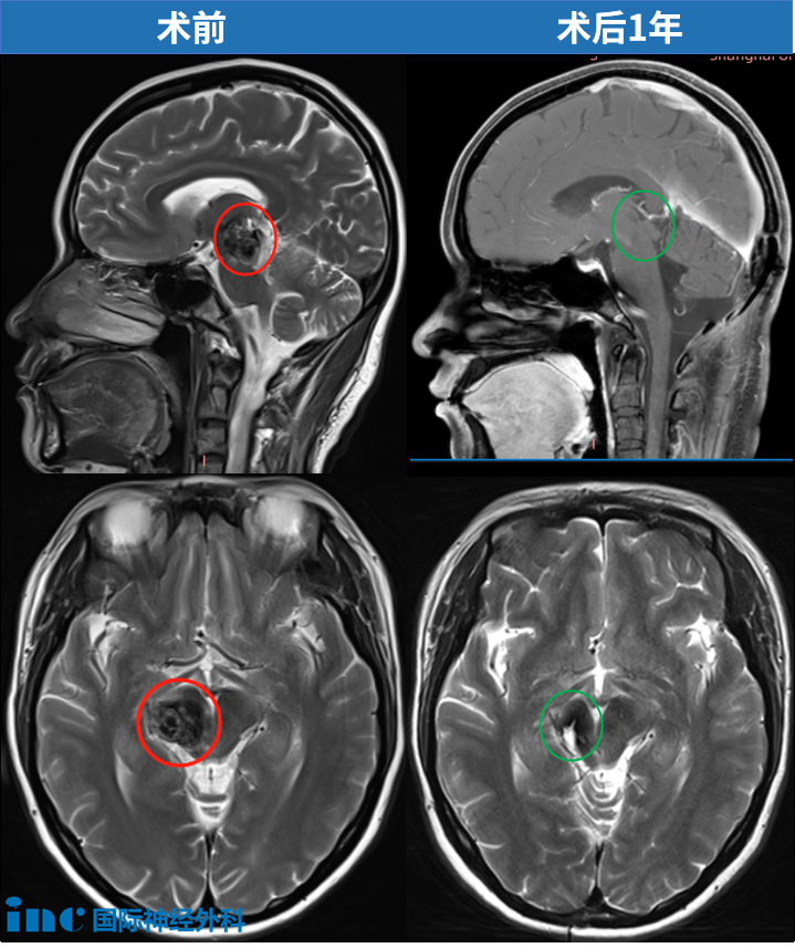
病例五:37岁女性丘脑海绵状血管瘤
思睿于2018年因丘脑出血出现复视、记忆障碍及左侧偏瘫。初次出血后选择保守治疗,第二次出血后卧床不起。巴教授成功为其全切丘脑-中脑海绵状血管瘤,术后第一天四肢功能恢复正常,一年后随访显示肿瘤完全切除,临床状态恢复良好。

点击阅读:37岁妈妈历时7年战胜“手术禁区”脑干肿瘤,坚持的力量强的没边了!
通过这些典型案例可以看出,虽然丘脑肿瘤手术难度较大,但在经验丰富的外科医生主刀下,仍能取得满意的治疗效果。

胶质瘤
垂体瘤
脑膜瘤
脑血管瘤
听神经瘤
脊索瘤

沪公网安备31010902002694号