DIPG定义与解剖基础
DIPG全称为“弥漫性内生型脑桥胶质瘤”,是一种致命性恶性儿童脑肿瘤,生长于脑桥区域。脑干由中脑、脑桥和延脑组成,其神经胶质细胞及神经纤维涵盖多种重要神经核团与神经传导束,作为人体呼吸、循环、运动及意识功能的重要保障。

疾病流行病学与预后数据
DIPG的典型确诊年龄段为5-10岁。其预后数据包括:2年生存率低于10%,5年生存率不足2%,中位生存期约为9个月。该疾病治疗方法曾超过40年无显著进展,95项临床药物试验均未实现生存率改善。
疾病特征与治疗挑战
DIPG以弥漫性浸润性生长和快速恶化进展为特征,属于脑干胶质瘤中预后极差、基本无手术指征、治疗难度极高的类型。然而,近年来DIPG治疗及分子生物学领域取得重大进展,多项临床试验呈现可喜成果,为治疗策略创新提供新方向。
临床研究进展与专家贡献
世界神经外科学院前院长、国际神经外科专业杂志《Journal of Neurosurgery》主编James T Rutka(鲁特卡)教授在2023年访华期间分享了正在进行中的DIPG I期临床试验。随着访华频率增加,鲁特卡教授针对磁共振引导聚焦超声技术(MRgFUS)治疗DIPG的I期临床试验成果进行了深入研究,已成功治疗10名DIPG患儿。下一阶段,教授及其团队将重点开展免疫治疗与MRgFUS联合应用、再程放疗等领域的新一轮临床试验与研究。
DIPG必知:致病原因
儿童脑干胶质瘤的病因尚未明确。近年研究显示,H3F3A、HIST1H3B/C、IDH1、TP53、PPMID、ACVR1、BRAF等基因突变可能与脑干肿瘤发病相关。部分儿童脑干胶质瘤患者与I型神经纤维瘤病(neurofibromatosis type1, NF1)存在关联。

DIPG临床症状表现
DIPG患者可表现为多种神经系统症状,具体取决于肿瘤生长位置。除头痛、呕吐、意识模糊等颅内压升高症状外,超过50%患儿呈现以下“经典三联征”:
颅神经麻痹:包括面部不对称、复视、眼球运动障碍、语言障碍、咀嚼与吞咽困难等;
长束征:表现为反射亢进、上行巴宾斯基征;
小脑体征:包括共济失调、辨距障碍、肢体无力。
DIPG诊断方法
磁共振成像(MRI):增强扫描对确认诊断或排除其他病变具有价值,计算机断层扫描(CT)有时也可使用;
分子诊断学:在DIPG中的作用日益重要,脑干活检有助于推动该领域发展。多项研究表明活检可安全实施,有助于加强诊断、支持基础科学研究,并应用于组织学和分子数据的临床试验。除典型胶质瘤免疫组化组外,各种分子病理学方法包括新一代测序和DNA微阵列,可用于分子水平确认H3突变存在,并根据预后确定受影响的组蛋白同种型差异。
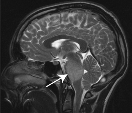
影像学MR解析
整个脑干(延髓、脑桥、中脑)在T2WI上呈现信号增强病灶(黄色箭头)。脑室系统虽受压变形,但未出现脑室扩大或脑积水情形(蓝色箭头)。肿瘤核心位于脑桥中心,出现时可占据轴向直径50%以上,通常包绕基底动脉。尽管DIPG沿纤维束浸润性和弥漫性生长至邻近位置,但很少转移至远处。
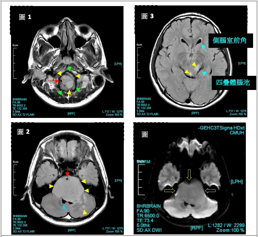
Fig.1:病灶使脑桥扩大,疑似向外突出小外凸物(绿色箭头)。病灶紧邻右椎动脉(红色箭头)。
Fig.2:显示整个脑桥充满高信号灶,脑桥体积增大但形状大致不变。基底动脉被肿瘤包围并前推(红色箭头),第四脑室受压,左侧尤甚(蓝色箭头),肿瘤扩散至小脑。
Fig.3:显示中脑也出现增强信号。

新治疗策略:免疫疗法与靶向治疗
由于DIPG靶向药物难以确定,且药物输送面临完整血脑屏障(BBB)阻碍,至今尚无单一或联合化疗策略取得成功。因此,医学界日益关注DIPG免疫及靶向疗法研究,探索包括嵌合抗原受体T细胞(CAR-T)疗法、免疫检查点阻断、癌症疫苗以及自体细胞转移疗法在内的多种治疗方法。
免疫治疗与MRgFUS联合应用:使用疫苗和靶向药物攻击特定突变脑肿瘤细胞。

免疫疗法

靶向治疗
DIPG治疗前沿进展
免疫治疗:在鲁特卡教授领导下,Arthur & Sonia Labatt脑瘤研究中心正在进行“磁波刀”(MRgFUS)治疗DIPG的临床试验。该技术精准针对DIPG脑肿瘤特定区域,有助于药物穿越血脑屏障,提高治疗效果和准确性。
MRgFUS作为一种非侵入性方法,通过静脉注射微型气泡,当其遇到聚焦超声场时振动,安全短暂地打开BBB。超声束可精确覆盖肿瘤位置,从而最小化非靶向效应。
使用MRgFUS可递送多种治疗物质,包括化疗药物、纳米颗粒、抗体和基因载体等。鲁特卡教授的I期临床试验已成功治疗10余名DIPG患儿,目前团队正推进该技术与免疫治疗的联合应用。
靶向治疗:H3K27位点突变已被证实是儿童DIPG的核心驱动基因变异。鲁特卡教授团队构建了系统研究平台:利用CRISPR-Cas9基因编辑技术,在正常神经干细胞中引入H3K27突变及DIPG相关协同突变,建立模拟肿瘤发生全过程的类器官模型。
该模型有助于确定癌症发生和发展的最早步骤,并识别使DIPG干细胞难以治疗的特性。目前,教授团队在鉴定可能引发疾病的正常脑细胞以及开发编辑突变所需技术步骤方面取得显著进展。
内容来源:
Current immunotherapeutic approaches to diffuse intrinsic pontine glioma
www2.cmu.edu.tw
Joel E. Pellot, Orlando De Jesus. Diffuse Intrinsic Pontine Glioma. 2020
脑干胶质瘤综合诊疗中国专家共识编写委员会. 脑干胶质瘤综合诊疗中国专家共识

胶质瘤
垂体瘤
脑膜瘤
脑血管瘤
听神经瘤
脊索瘤

沪公网安备31010902002694号