不知从何时起,欢欢的颅内出现了一个肿瘤病灶。由于肿瘤位置特殊,紧邻脑干并压迫第四脑室,初次手术仅能实现部分切除。术后病理检查确诊为室管膜瘤。面对这一仅次于胶质瘤和髓母细胞瘤的儿童常见颅内肿瘤,后续进行的质子治疗也未能取得理想效果……正当欢欢父母准备接受保守观察方案时,一个实现肿瘤全切的手术机会悄然出现。
步态异常背后的病因
欢欢7岁时,父母注意到原本食欲旺盛的孩子开始频繁呕吐,并持续主诉头痛症状,甚至夜间会被痛感惊醒。这些异常表现立即引起家长警觉,联想到近期孩子行走时经常摇晃不稳、容易摔倒的情况,他们当即决定送医检查。
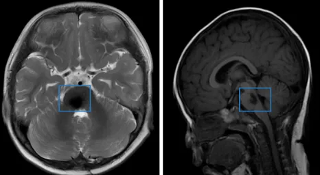
急诊医生的凝重表情证实了家长的担忧。MRI检查结果显示:第四脑室底部存在占位性病变。

治疗困境与抉择
首次手术因肿瘤与脑干紧密粘连,为避免损伤重要神经结构,医生采取了相对保守的部分切除策略。术后病理确诊为室管膜瘤。为控制肿瘤进展,欢欢接受了质子治疗,但两次治疗均未达到预期效果。面对复杂的病情,医生最终建议采取保守观察方案。
跨国求医的新契机
经过慎重考虑,欢欢全家决定前往德国寻求进一步治疗。不愿放弃任何治疗机会的父母,最终联系到巴特朗菲教授。经过专业评估,教授认为仍有手术全切的可能,这为全家带来了新的希望。
手术在德国顺利实施,成功实现了肿瘤全切。术后第一天,欢欢意识恢复,肢体功能开始改善;术后两周达到出院标准;五个月后,其吞咽功能和运动能力显著恢复,精神状态基本恢复正常水平。

*病例来源:INC巴特朗菲教授德国手术案例

胶质瘤
垂体瘤
脑膜瘤
脑血管瘤
听神经瘤
脊索瘤

沪公网安备31010902002694号