一阵急促而嘈杂的脚步声在医院走廊响起,患者被医护人员推着冲向急诊室。当时患者已无法自主站立,病情危急。患者整个人如同被固定在病床上,感觉世界倾斜而模糊,家属焦急地跟随在推车后方。
后来才了解到,此类场景在神经外科,特别是脑血管疾病救治中并不少见。急诊室内多数患者都处于生命垂危状态,全靠医疗团队全力施救,才得以从危险边缘挽回生命。
疾病诊断与病情评估
45岁这一年,患者的生活被脑干内破裂的海绵状血管瘤彻底改变。起初认为这种良性血管瘤无需过度担忧,至少不会引发严重出血。但当患者卧床不起,身体半侧瘫痪,面部歪斜时,才真正意识到问题的严重性。

家属后来告知,患者当时面部明显不对称,双眼充血,眉毛一高一低,甚至眼睛也出现明显大小不一。最危险的是,因吞咽功能严重受损,连水都无法下咽,只能依靠鼻饲管维持生命。主治医生警告,若不及时手术,极可能因误吸导致肺炎危及生命,即使使用胃管也存在食物反流进入气道的风险。
但医生同时指出,病灶位于"手术禁区"脑桥区域,病变已使脑桥膨胀如气球。脑桥作为脑干中段结构,上接中脑,下连延髓,承担大脑、小脑与脊髓间的关键连接功能。其腹侧面明显隆起,表面沟回复杂,内部有大量横向神经纤维延伸至小脑,负责协调大脑与小脑间的信息传递;背侧参与构成第四脑室底上部,内含三叉神经核、展神经核等重要结构,调控面部感觉、眼球运动、听觉和平衡功能。

此外,脑桥深部还存在网状结构等生命中枢,对维持意识清醒、睡眠节律和呼吸功能具有重要作用。由于脑桥结构极其复杂,手术操作需毫米级精度,历来被视为神经外科手术的高风险区域。

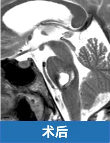
手术治疗与康复效果
值得庆幸的是,巴特朗菲教授接手了这例高风险手术。在精细清除血肿及血管畸形的同时,特别注意保护脑桥后部实质及外展神经、面神经的完整性。术后一年随访显示,患者面神经和外展神经功能基本恢复,能自然露出真诚笑容。患者最终恢复至病前状态,曾经的恐惧感被稳定的踏实感取代。这完全得益于教授精湛的手术技术,将濒临危险的患者成功救治。


脑干手术技术解析
自1974年医学生时期,INC巴特朗菲教授便对脑干解剖结构产生浓厚兴趣——如此狭小区域竟承担众多重要功能。至今,他专注脑干手术领域已三十余年。截至2025年上半年,巴教授成功完成371例脑干海绵状血管瘤手术。患者中女性215例,男性156例,年龄跨度1-69岁。病灶分布:104例位于中脑,215例位于桥脑,52例位于延髓。


巴教授强调手术入路选择至关重要。针对桥脑海绵状血管瘤,根据不同病变类型个体化选择手术入路,切除过程中力求保留外展神经和面神经功能。基于桥脑解剖结构与病变复杂关系,总结出五大手术入路:经髓帆入路、经桥脑臂入路、远外侧入路、小脑上外侧入路和颞下经天幕入路。具体方案需结合患者实际情况及主刀医生的专业经验综合决定。


伽马刀治疗效果评估
部分患者存在疑问:既然手术风险高,是否存在非手术方法预防出血?目前,脑干海绵状血管瘤治疗仍完全依赖手术干预。多项研究指出伽马刀治疗伴随较高风险,包括再出血、永久性神经功能损伤及辐射相关副作用。INC巴特朗菲教授明确表示,无明确证据支持立体定向放射外科(SRS)的有效性。他指出:"伽马刀治疗是极不理想的选择,不仅可能产生副作用,且无法预防再出血,这一点已通过多个病例和科学文献证实。"此外,该疗法还存在诱发新发病变的风险,家族性脑海绵状血管瘤或合并静脉畸形患者需特别谨慎。综上,放射治疗在脑海绵状血管瘤管理中的效果与安全性仍需更多高质量研究验证。
脑干海绵状血管瘤早期手术干预能有效消除病变再出血风险。手术全切程度与神经外科医生经验密切相关,对解剖的深入理解、灵活的手术策略、精湛的显微操作技巧及多种手术入路的熟练掌握,都是实现安全全切的关键因素。

胶质瘤
垂体瘤
脑膜瘤
脑血管瘤
听神经瘤
脊索瘤

沪公网安备31010902002694号