欢欢成功完成治疗并恢复正常生活。从首次确诊脑干胶质瘤,到目睹女儿病情逐渐恶化,母亲内心经历多次情绪波动。幸运的是,他们遇到专业医疗团队,通过成功的手术治疗,欢欢状况持续改善。尽管恢复速度较其他儿童缓慢,但进步明显令人感动。经过1年、2年、3年的持续康复,患者重新获得独立行走能力,并顺利完成学业,展现出显著的恢复成果。

疾病特征与病情发展
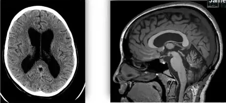
多年前,欢欢被确诊患有脑干胶质瘤。母亲初闻诊断时表现平静,但随后意识到病情的严重性。第三次就诊时,医生明确告知脑干手术难度大、风险高,术后效果不确定,若不能完全切除还需后续治疗,这让母亲难以继续逃避现实。
患者此时表现出超乎年龄的成熟,平静地建议继续寻求其他治疗方案。考虑到手术高风险,母亲决定积极寻找更多医疗资源,通过网络和熟人渠道多方咨询。
在此期间,患者病情急剧恶化:初期出现眼球转动受限(核间眼肌麻痹),随后快速发展为严重共济失调和右侧肢体无力,直至丧失独立行走能力。继而出现吞咽功能障碍和左侧面瘫,最终生活完全不能自理。

国际医疗求助过程
母亲在照顾患者的同时加速寻找手术机会,经人介绍前往加拿大就医。这是他们首次抵达该国,甚至来不及提前学习英语就毅然启程。抵达后立即前往当地儿童医院就诊。
他们特意求助多伦多大学儿童病院、亚瑟和索尼亚拉巴特脑瘤研究中心主任James T.Rutka教授。该专家在儿童脑干胶质瘤领域具有丰富经验,能制定包括后续辅助治疗在内的完整治疗方案,使家属倍感安心。
教授评估后承诺将全力安全切除肿瘤,并避免严重并发症。家属在医院附近安顿下来,患者顺利住院,不久便迎来了期待已久的手术。

手术治疗与康复效果
手术当日,母亲在单独等候室由护士陪同。手术结束后,Rutka教授笑容满面地告知手术成功完成,肿瘤已安全切除。母亲激动不已,长期压抑的情绪瞬间释放。
术后,Rutka教授认为无需额外治疗,只需循序渐进地康复。在母亲精心照料下,一年后患者恢复独立行走能力。虽然康复进程缓慢,但家人对此结果已深感欣慰。整个过程并非一帆风顺,但凭借不懈努力,最终取得理想疗效。
多年后,患者顺利完成学业,家属特意带其回院与Rutka教授合影留念。教授的精湛医术与患者的顽强康复共同创造了这一医学成功案例。

案例来源:Rutka教授演讲分享的手术案例

胶质瘤
垂体瘤
脑膜瘤
脑血管瘤
听神经瘤
脊索瘤

沪公网安备31010902002694号