脑海绵状血管瘤全切后还会复发吗?
长得高高壮壮的阿豪看起来充满活力,查出脑干海绵状血管瘤后,一直提心吊胆,当选择手术时,术后是否复发也成为他担心的问题。
而巴教授给他的评估——“手术复发的概率大概在千分之一,非常非常低……”

巴教授在纸上写下复发概率1:1000
说到脑干海绵状血管瘤,我发现很多人都有个误区,他们会担心这是不是恶性肿瘤。首先我们要明确,虽然它的名字里带了个瘤字,但其实海绵状血管瘤是一种血管畸形病变,并不是肿瘤。
尽管最初被认为是先天性病变,但现已知海绵状血管瘤是获得性的,许多报告证实了MRI检查结果正常的患者后来发展成了海绵状血管瘤。大约80%的患者是散发病例。通常情况下,患者会有一个单一的病变,往往同时伴有发育性静脉异常(DVA)。多达20%的病人是家族性病例,存在多个病变的患者或单一病变合并家族史的患者应考虑进行遗传咨询和检测。
因此,一说到手术,有的患者会担心“做完手术复发了怎么办?”,其实这个病绝大多数是可以通过手术达到良好预后的。只有少数患者的问题在于他的海绵状血管瘤是多发的,也就是说不止一处病变,很可能是其他的病变出现了症状,而不是说切除后又复发。
“我自己还是想做手术”——年仅23岁却在命运分岔口果断抉择
2021年,因为持续数日的头晕、乏力、睡眠质量下降呕吐,阿豪就医检查,本以为就是一次简单的小毛病。
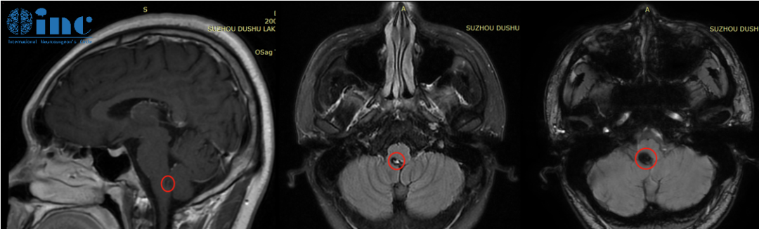
但是却不想竟是“生命中枢”——脑干上出了问题。头部CT显示延髓后方近小脑见大小约6.8*9.9mm的片状高密度阴影,怀疑脑干海绵状血管瘤。

因为脑干上这颗“不定时炸弹”四处求医,然而得到了答案却总是可以手术但是风险很大、建议保守治疗。脑干海绵状血管瘤像一团阴云,一点点遮挡住生命中的阳光……
脑干海绵状血管瘤肿瘤很小需要手术吗?
脑干再次出血的几率大吗?
手术后能不能治愈吗?
手术后还能恢复正常人生活吗?
手术后还会复发吗?复发的概率有多大?
他们对于这个很多人告知动不了刀的病,有着无数的疑惑,而他们也一直在寻找着能解答这些疑惑的医生。
PART.01 黑暗中寻觅
病友群,他们希望尽快找到答案……
2023年3月,国际脑干手术大师——INC巴特朗菲教授来华进行示范手术的消息在病友圈传开,阿豪和家人也看到了。
300多例脑干海绵状成功案例、上千例脑干肿瘤成功案例、专研脑干手术40余年……越了解巴教授,阿豪一家越觉得这就是能回答那些心中疑问的医生。于是和家人商议后,一家人打算直接面对面咨询这位脑干手术大师。

PART.02 寻得光亮
2023年3月26日,安豪和家人通过INC国际神经外科医生集团的协调,一场和国际脑干手术大师的面对面咨询正在展开……
阿豪:我的脑干海绵状血管瘤需要手术吗?
巴教授:目前来看手术是可行的,但是并不是必须的。如果手术的话自己可以替他切除这颗位于脑干-延髓位置的海绵状血管瘤,且由于病灶位于延髓外侧,手术难度并不大,自己有过很多更难的成功手术案例。当然也可以暂时不选择手术进行保守治疗,但是这样就会有大约5%再次出血的概率,脑干反复出血后症状会一次比一次重,造成的神经功能损伤是不可逆的,治疗时机则会直接影响患者预后。
阿豪:那手术风险大吗?
巴教授:“就在昨天我做了一个比这个大两到三倍的脑干海绵状血管瘤,病人现在情况很好。”

“面对面的跟巴教授交流是比较好的。而且我也特别想见一见。我看到巴教授的时候他整个人特别和蔼,跟人交流很有礼貌的那种。”
专业细致的回答、巴教授给了阿豪一家患病以来从未有过的安全感。
“当时巴教授跟我讲的这个后遗症是我能接受的,不像某一些医院给的后遗症是特别吓人的”
而此时是继续保守还是选择接受手术,这个选择也再次摆在了年轻的阿豪面前。
虽然只有很小的出血风险,但是他知道还没展开的人生画卷担不起这一点点风险,对于他对于爱他的家人,这都是难以承受的。年轻男孩面对着巴特朗菲教授一个个准确而自信的回答,再次坚定了手术的决心。
而对于阿豪担心的复发问题,什么情况下仍存在复发的可能性,主要原因包括以下几个方面:
1. 病灶残留
多灶性病变:部分患者可能存在多个微小病灶,术前影像未全部发现(尤其是家族性或遗传性病例),术后其他病灶可能逐渐生长。
2. 遗传因素
家族性病例:约20%的海绵状血管瘤与遗传相关(如CCM1/2/3基因突变),患者体质易感,即使全切原发病灶,其他部位也可能新生病变。
3.影像学假阴性
隐匿性病灶:术前MRI(即使增强扫描)可能未检出微小病灶,尤其是处于静止期的病变,术后随访中逐渐显现。
4.功能区保护手术技术限制
功能区保护:若肿瘤位于脑干、运动区等关键部位,为避免神经损伤,可能无法彻底切除边缘组织。因此,找到技术精湛,有把握达到全切的主刀医生至关重要。
海绵状血管瘤的复发与生物学特性、遗传背景及手术完整性密切相关,需个体化评估和管理。
PART.03 “全切”——顺利手术了
“全切了!” 在国内手术团队的配合下,术中神经电生理监测下,巴教授全程主刀顺利全切了阿豪的脑干海绵状血管瘤。

而在术后住院的日子里,巴教授也会亲自来到病房查看阿豪的情况。而术后的恢复也比他想象中的更快,“拔完监护仪这些都下地走路了,都不用家属扶着”。术后第9天,病房里的他已经能够自由活动,脸上带着这个年纪大男孩开朗阳光的笑容。看着前来查房的偶像,阿豪拿出笔记本,上面写着自己关于术后的疑问。”术后多久可以跑步呢?“热爱运动的他问巴教授,巴教授回答大概一个月以后能恢复运动,一步一步来会恢复到正常生活的。
PART.04 新生——恢复正常人生活
“我现在已经恢复的跟正常人一样了,我可以回归到我以前想要的那种生活,不要再过那种提心吊胆的日子了”
术后一年多,阿豪脸上灿烂的笑容和快乐的自由奔跑验证了一切。

二十出头的年纪,大多都是听从家里人的意见。而阿豪面临对人生影响深远的抉择时,毫不犹豫,当机立断。“我还是想手术的”。
成功手术后,关于脑干海绵状血管瘤的治疗,阿豪也给出了自己的建议:有两个和我同样部位的海绵状血管瘤,他们都是巴教授手术的,我也跟他们见面交流过,他们术后跟正常人一模一样,也是他们给了我很大的信心,最终我才坚定要手术的,决定找巴教授手术的。这个东西是良性的,不像癌症,这个是可以通过手术治疗来达到恢复的,不用那么担心,只要平时注重规律生活就行。
案例后记
少年时,总期待着长大后追逐梦想;可现实因种种原因,或许无法去践行。但只要有一个积极乐观的心态,哪怕面临任何困境,一样可以用勇气战胜疾病,最终踏遍千山万水。23岁脑干海绵状血管瘤患者阿豪用实际行动证明,经历"生命禁区"脑干开颅手术后也可以做到“神采飞扬”。术后阿豪重启大学之旅,每一步都是积攒活着的乐趣,相对于大多数普通人,更加弥足珍贵。
脑干长期被视为“手术禁区”,即使显微神经外科技术、术中辅助技术发展及脑干安全区的发现,直到如今依然仅有少数术者有较多成功的手术报导。综合其300多台脑干海绵状血管瘤成功手术经验,INC巴教授对脑干海绵状血管瘤手术治疗经验要点总结如下:
1、临床症状严重提示有手术指征;
2、偶然发现的(静态的,无临床表现,无出血)海绵状血管瘤暂时不需要手术治疗;
3、在进展恶化快的病人中,紧急手术切除肿瘤是有益的,相当于抢救性手术;
4、有很多手术入路是可以选择的,但最短到达肿瘤的手术路径并不一定是最好的手术入路选择;有的较长的入路在特定情况下对功能的保护是很好的;
5、根据巴教授手术的患者,90%以上的患者可以达到良好或极好的预后;
6、再发出血的患者应该再次手术。
点击阅读:300+成功案例!让这种脑干肿瘤走出禁区,原来手术才是“正解”!
如果您也有想要分享的经历或者无法解答的疑惑,欢迎留言……

胶质瘤
垂体瘤
脑膜瘤
脑血管瘤
听神经瘤
脊索瘤

沪公网安备31010902002694号